下颚疼牙根疼可能与颞下颌关节紊乱、牙髓炎、牙周炎、智齿冠周炎以及三叉神经痛等原因有关,建议及时就医明确诊断。

颞下颌关节紊乱可能由精神压力过大、长期单侧咀嚼、关节外伤等因素引起,通常表现为下颌关节区疼痛、张口时有弹响、咀嚼困难等症状。治疗时可采取热敷缓解肌肉紧张,使用布洛芬缓释胶囊减轻炎症与疼痛,或在医生指导下进行关节腔冲洗。日常应避免咀嚼硬物,减少过大张口动作,适当进行下颌肌肉放松训练。
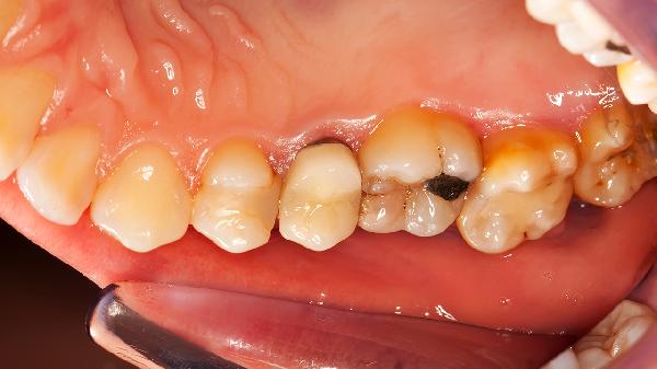
牙髓炎多由深龋未及时处理、牙齿隐裂或细菌感染导致,典型症状为自发性剧烈疼痛、冷热刺激痛、夜间疼痛加重并可能放射至面部。治疗需进行根管治疗清除感染源,使用对乙酰氨基酚片缓解急性疼痛,或配合甲硝唑片控制厌氧菌感染。发病后应尽早就诊,避免炎症扩散引起颌骨感染。
牙周炎常因牙菌斑堆积、牙结石刺激、口腔卫生不良等引发,伴随牙龈红肿出血、牙周袋形成、牙齿松动及持续性钝痛。治疗包括牙周基础治疗如龈上洁治,使用阿莫西林克拉维酸钾分散片抗感染,或局部应用盐酸米诺环素软膏。日常需使用牙线清洁牙缝,定期进行专业洁牙。

智齿冠周炎主要由于智齿萌出不全、牙龈瓣覆盖形成盲袋导致食物残渣滞留引发感染,症状表现为智齿周围红肿疼痛、张口受限、颌下淋巴结肿大。治疗可采用生理盐水冲洗盲袋,口服头孢克肟胶囊控制炎症,必要时需手术拔除阻生智齿。发病期间需用温盐水漱口,保持口腔清洁。
三叉神经痛可能因血管压迫神经、颅内肿瘤或神经系统病变引起,典型特征为阵发性电击样剧痛,触碰面部特定点可诱发疼痛。治疗可使用卡马西平片抑制神经异常放电,或考虑微血管减压手术。患者应避免冷风刺激面部,选择软质食物减少咀嚼刺激。

出现下颚和牙根疼痛时应注意保持口腔卫生,每日刷牙两次并使用牙线清洁,避免过硬或过黏食物减少咀嚼负担,适当进行下颌关节放松活动,若疼痛持续超过三天或伴随发热肿胀需立即就诊,日常定期口腔检查有助于早期发现病变。疼痛急性发作期间可采用温敷缓解肌肉紧张,避免过度使用下颌关节,饮食以温软易咀嚼为主,确保充分休息避免精神紧张加重症状。