养生保健
  • 病毒感染导致扁桃体发炎需要消炎吗
    病毒感染导致扁桃体发炎需要消炎吗
    病毒感染导致的扁桃体炎通常无需使用抗生素消炎,主要通过休息、补液及对症治疗缓解症状。常见处理方式包括物理降温、咽喉护理、饮食调整、药物缓解疼痛以及密切观察病情变化。1、物理降温:当出现发热症状时,可采 ...
    2026-4-18 16:11
    食疗养生
  • 南瓜品种哪个口感最好吃
    南瓜品种哪个口感最好吃
    南瓜口感优劣主要取决于品种特性,粉糯型南瓜适合炖煮,甜度高品种更适宜甜品制作。常见优质口感品种有蜜本南瓜、贝贝南瓜、红栗南瓜、奶油南瓜、金丝南瓜。1、蜜本南瓜:果肉橙黄致密,蒸煮后呈现浓郁板栗香气与绵 ...
    2026-4-18 16:11
    食疗养生
  • 健身一天最多吃几个鸡蛋白
    健身一天最多吃几个鸡蛋白
    健身人群每日摄入鸡蛋白数量建议控制在3-6个。具体摄入量需根据训练强度、体重目标、基础代谢率、蛋白质总需求及个体消化吸收能力综合调整。1、训练强度:高强度力量训练者每日可摄入5-6个鸡蛋白,蛋白质分解代谢加 ...
    2026-4-18 16:11
    食疗养生
  • 烂掉的水果怎么处理
    烂掉的水果怎么处理
    烂掉的水果可通过局部切除、高温处理、发酵堆肥、制作酵素、丢弃处理等方式解决。腐烂程度不同需采取差异化的处理措施。1、局部切除:当水果仅局部出现霉斑或软腐时,可将腐烂部位及周围2厘米健康组织一并切除。苹果 ...
    2026-4-18 16:11
    食疗养生
  • 吃什么食物可以增肌肉
    吃什么食物可以增肌肉
    增肌需通过高蛋白饮食配合科学训练实现,关键食物包括鸡胸肉、鸡蛋、三文鱼、乳清蛋白和藜麦。蛋白质摄入需结合碳水化合物与健康脂肪,同时保证热量盈余。1、鸡胸肉:每100克鸡胸肉含约31克优质蛋白,脂肪含量仅3.6 ...
    2026-4-18 16:11
    食疗养生
  • 泡脚除湿气用什么泡最好
    泡脚除湿气用什么泡最好
    泡脚除湿气推荐使用艾叶、生姜、花椒等材料,搭配温胆汤或五苓散等中药方剂效果更佳。1、艾叶泡脚:艾叶性温味苦,具有温经散寒、祛湿止痒功效。取干艾叶30克煮沸后兑温水泡脚20分钟,可改善下肢水肿、关节酸痛等寒 ...
    2026-4-18 16:11
    中医养生
  • 面包鞋油渍怎么去除
    面包鞋油渍怎么去除
    面包鞋油渍可通过物理清洁、化学溶解、自然分解、专业处理、预防保护等方法去除。1、物理清洁:油渍未干时立即用纸巾吸除表面油脂,避免渗透纤维。干油渍可用软毛刷轻刷去除表层结块,配合小苏打粉或玉米淀粉吸附残 ...
    2026-4-18 16:11
    食疗养生
  • 脾虚湿滞吃什么药
    脾虚湿滞吃什么药
    脾虚湿滞可选用参苓白术散、香砂六君丸、附子理中丸等中成药调理,配合薏苡仁、茯苓、山药等食疗改善。1、参苓白术散:脾虚湿滞常见食欲不振、大便溏稀,参苓白术散含人参、白术、茯苓等成分,能健脾益气、渗湿止泻 ...
    2026-4-18 16:11
    中医养生
  • 苹果西红柿果汁有什么功效
    苹果西红柿果汁有什么功效
    苹果西红柿果汁具有抗氧化、促进消化、增强免疫力、改善皮肤状态和辅助控制体重等功效。这种混合果汁结合了苹果的膳食纤维与西红柿的番茄红素,主要有营养互补、代谢调节、自由基清除、肠道健康维护和低热量摄入五大 ...
    2026-4-18 16:11
    食疗养生
  • 补气补血中药什么在什么时候吃最好
    补气补血中药什么在什么时候吃最好
    补气补血中药建议在早晨空腹或饭后两小时服用,最佳服用时间与药物性质、个人体质及调理目的有关,主要有饭前温补类、饭后刺激性类、早晚分服类、经期调理类、季节适应性类五种情况。1、饭前温补类:如黄芪、党参等 ...
    2026-4-18 16:11
    中医养生
  • 扁桃体发炎后不回缩了
    扁桃体发炎后不回缩了
    扁桃体发炎后不回缩多与慢性炎症、组织增生、反复感染、免疫反应异常、局部结构改变等因素有关。可通过抗炎治疗、免疫调节、物理治疗、手术干预、日常护理等方式改善。1、慢性炎症:长期反复的扁桃体炎症会导致局部 ...
    2026-4-18 16:11
    食疗养生
  • 有晨勃但平时很难起来怎么调理
    有晨勃但平时很难起来怎么调理
    晨勃正常但平时勃起困难可能与肾阳虚、肝郁气滞、气血不足、湿热下注或心理压力有关,可通过中药调理、穴位按摩、运动疗法、心理疏导和饮食调节改善。1、肾阳虚:肾阳不足导致生殖功能减退,表现为勃起不坚、畏寒肢 ...
    2026-4-18 16:11
    中医养生
  • 吃营养餐有什么好处和功效
    吃营养餐有什么好处和功效
    营养餐通过科学配比提供全面营养素,主要功效包括维持代谢平衡、增强免疫力、促进组织修复、改善肠道功能及预防慢性病。营养餐的优势体现在精准营养供给、减少代谢负担、优化吸收效率、调节生理机能和延缓衰老进程五 ...
    2026-4-18 16:11
    食疗养生
  • 中医治疗牛皮癣的效果好吗
    中医治疗牛皮癣的效果好吗
    中医治疗牛皮癣通过整体调理和局部干预可有效缓解症状,常用方法包括中药内服、外敷、针灸、拔罐及药浴。1、中药内服:牛皮癣中医辨证多与血热、血瘀或血虚相关,内服方剂需个体化调配。血热型常用犀角地黄汤加减, ...
    2026-4-18 16:11
    中医养生
  • 晚上喝益生菌有什么好处
    晚上喝益生菌有什么好处
    晚上喝益生菌有助于改善肠道健康、提升睡眠质量、增强免疫力、促进营养吸收、调节情绪。1、改善肠道:夜间肠道蠕动减缓,益生菌能更长时间定植于肠道,帮助平衡菌群。肠道菌群紊乱可能引发腹胀或便秘,补充双歧杆菌 ...
    2026-4-18 16:11
    食疗养生
  • 大便不成形气多腹通
    大便不成形伴随排气增多和腹痛多由脾胃虚弱、饮食不当、湿邪困脾、肝气郁结或肠道菌群失衡引起,可通过中药调理、饮食调整、穴位按摩、运动疗法及生活习惯改善缓解。1、脾胃虚弱:长期饮食不节或过度劳累损伤脾胃阳 ...
    2026-4-18 16:11
    中医养生
  • 生榨冬瓜汁可以加热吗
    生榨冬瓜汁可以加热吗
    生榨冬瓜汁可以加热,但需控制温度避免破坏营养成分,具体方法包括隔水加热、短暂煮沸、搭配温性食材。1、隔水加热法:将盛有冬瓜汁的容器放入热水中缓慢升温,温度控制在60℃以下。高温会破坏维生素C和酶类活性物质 ...
    2026-4-18 16:11
    中医养生
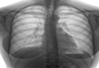
  • 右肺局限性气肿严重吗
    右肺局限性气肿严重吗
    右肺局限性气肿的严重程度需根据具体病因和症状评估,常见原因包括慢性阻塞性肺病、外伤或先天发育异常,治疗方法包括药物治疗、手术治疗和中医调理。1、病因分析:右肺局限性气肿可能由慢性阻塞性肺病、外伤或先天 ...
    2026-4-18 16:11
    中医养生
  • 如何完整剥开熟板栗
    如何完整剥开熟板栗
    完整剥开熟板栗可采用冷冻法、切口法、微波法、热胀冷缩法和揉搓法五种方式。1、冷冻法:将煮熟的板栗放入冰箱冷冻室30分钟,低温会使果壳与果肉收缩程度不同产生空隙。取出后轻捏两端,外壳会沿自然裂缝完整分离。 ...
    2026-4-18 16:11
    食疗养生
  • 艾灸贴贴哪个部位最祛湿
    艾灸贴贴哪个部位最祛湿
    艾灸贴祛湿效果最佳的穴位主要有足三里、三阴交、丰隆穴、中脘穴和关元穴。这些穴位分别对应脾胃调理、水湿运化、化痰祛湿等功效,可根据个体湿气症状选择组合使用。1、足三里:位于膝盖外侧凹陷下3寸,属足阳明胃经 ...
    2026-4-18 16:11
    中医养生