脚上楔骨骨折可通过休息制动、冰敷消肿、药物治疗、物理治疗、手术治疗等方式处理。楔骨骨折通常由直接暴力、间接暴力、肌肉牵拉、骨质疏松、病理性骨折等原因引起。

骨折发生后应立即停止患足活动,避免负重。可以使用石膏或支具对足部进行固定,限制跖趾关节和跗骨间关节的活动,为骨折愈合创造稳定环境。固定时间通常需要4至6周,期间应抬高患肢,促进静脉回流,减轻肿胀。休息制动是骨折愈合的基础,能有效防止骨折断端移位。
在骨折急性期,即伤后48小时内,应对患足进行局部冰敷。冰敷能使局部血管收缩,减少组织液渗出,从而减轻肿胀和疼痛。每次冰敷时间控制在15至20分钟,每日可进行多次,但需注意用毛巾包裹冰袋,避免冻伤皮肤。冰敷有助于缓解早期炎症反应,为后续治疗创造条件。
疼痛明显时可在医生指导下使用镇痛药物,如布洛芬缓释胶囊、双氯芬酸钠缓释片或对乙酰氨基酚片等非甾体抗炎药。这些药物能抑制前列腺素合成,起到抗炎镇痛作用。若存在开放伤口,还需遵医嘱使用注射用头孢唑林钠等抗生素预防感染。药物治疗需严格遵循医嘱,不可自行调整剂量。

骨折中后期可进行物理治疗以促进恢复。超声波治疗能够加速局部血液循环,促进血肿吸收。红外线照射可改善组织代谢,缓解软组织粘连。在医生指导下进行足趾主动活动、踝泵运动等康复训练,能防止肌肉萎缩和关节僵硬。物理治疗应循序渐进,强度以不引起明显疼痛为宜。
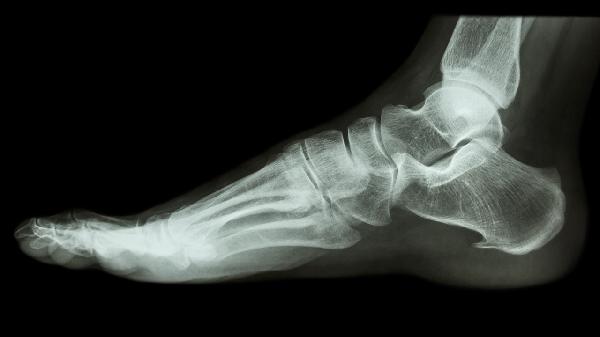
对于移位明显的关节内骨折、开放性骨折或保守治疗失败的情况,需考虑手术治疗。常用术式包括切开复位内固定术,使用螺钉或钢板对骨折块进行牢固固定。术后仍需配合石膏外固定,并定期复查X线片观察骨折愈合情况。手术治疗能实现解剖复位,最大程度恢复足部功能。

楔骨骨折后应注意营养补充,多摄入富含钙质和维生素D的食物如牛奶、豆制品等,促进骨骼愈合。恢复期间戒烟限酒,避免影响局部血供。定期复查X线片,根据骨折愈合情况在医生指导下逐步进行负重训练。保持积极心态,遵循医嘱进行系统康复,绝大多数患者可获得良好功能恢复。