神经外科
  • 外伤脑出血一般要住院多少天
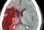
    外伤脑出血一般要住院多少天
    外伤脑出血一般需要住院14-30天,具体时间与出血量、损伤部位、并发症及恢复情况有关。外伤脑出血的住院时间主要受临床指标影响。出血量在10-30毫升且位于非功能区时,住院时间通常为14-21天,期间需监测颅内压变化 ...
    2025-9-28 16:13
  • 脑动脉硬化症的症状及治疗方法
    脑动脉硬化症的症状及治疗方法
    脑动脉硬化症的症状主要包括头晕、头痛、记忆力减退、肢体麻木等,治疗方法有调整生活方式、药物治疗、手术治疗等。脑动脉硬化症通常由高血压、高脂血症、糖尿病等因素引起,可能导致脑供血不足、脑梗死等严重后果。 ...
    2025-9-28 16:13
  • 开颅手术后需要多长时间才能醒来?
    开颅手术后患者通常在1-6小时内恢复意识,具体时间与手术类型、麻醉深度及个体差异有关。开颅手术后苏醒时间受多种因素影响。全身麻醉下进行的常规开颅手术,患者多在术后1-2小时逐渐恢复意识,此时麻醉药物代谢基本 ...
    2025-9-28 16:13
  • 45岁的脑梗塞能活多久?
    45岁的脑梗塞能活多久?
    45岁脑梗塞患者的生存时间差异较大,主要与病情严重程度、治疗时机及后期康复管理有关。多数患者在规范治疗和有效康复下可长期生存,部分重症患者可能因并发症影响生存质量。脑梗塞后存活时间受多重因素影响。轻度脑 ...
    2025-9-28 16:13
  • 脑梗死患者的常规护理
    脑梗死患者的常规护理
    脑梗死患者的常规护理主要包括病情监测、用药管理、康复训练、饮食调整和心理支持等方面。脑梗死是由于脑部血液供应障碍导致脑组织缺血缺氧性坏死,患者可能出现肢体瘫痪、言语障碍、吞咽困难等症状,需通过综合护理 ...
    2025-9-28 16:13
  • 幕上脑室扩张的表现症状
    幕上脑室扩张的表现症状
    幕上脑室扩张在医学上是指小脑幕以上两侧的侧脑室扩张,是由多种因素引起的脑室堵塞、脑室血管破裂的一系列神经系统症状体征疾病。幕上脑室的扩张表现为血液和脑脊液充满扩张部位的脑积水,患者的年龄分布不规则,儿 ...
    2025-9-28 16:13
  • 脑出血引流手术的危险期是多长?
    脑出血引流手术的危险期是多长?
    脑出血引流手术的危险期一般为7-14天,具体时间与出血量、手术时机、患者基础健康状况等因素相关。术后1-3天是急性危险期,此时可能发生再出血、脑水肿加重或颅内压急剧升高。此阶段需密切监测生命体征,通过影像学 ...
    2025-9-28 16:13
  • 松果体占位是严重的疾病吗?
    松果体占位是严重的疾病吗?
    松果体占位是比较严重的疾病。大多数情况下,松果体指松果体区的肿瘤,特别是生殖细胞肿瘤,常见于生殖细胞肿瘤。男性患者通常有功能障碍。生殖细胞肿瘤和生殖细胞肿瘤增大,中脑导水管和第三脑室堵塞,引起堵塞性脑 ...
    2025-9-28 16:13
  • 化脓性脑膜炎的症状
    化脓性脑膜炎的症状
    化脓性脑膜炎的症状主要有发热、头痛、呕吐、颈项强直、意识障碍等。化脓性脑膜炎是由细菌感染引起的脑膜炎症,病情进展较快,需要及时就医治疗。1、发热化脓性脑膜炎患者通常会出现高热,体温可能超过39摄氏度。发 ...
    2025-9-27 16:13
  • 脑出血左边不能动的原因
    脑出血左边不能动的原因
    脑出血后左侧肢体不能动通常由出血部位压迫运动神经传导通路或脑组织损伤导致。主要原因包括内囊出血、脑干出血、大脑半球运动区损伤、脑水肿压迫神经以及继发性脑缺血等。1、内囊出血内囊是大脑皮层与脊髓之间神经 ...
    2025-9-27 16:13
  • 开颅手术会有后遗症吗?
    开颅手术可能会有后遗症,具体表现与手术部位、病情严重程度及个体差异有关。开颅手术主要用于治疗脑外伤、脑肿瘤、脑血管病变等疾病,术后可能出现头痛、癫痫、肢体功能障碍、认知障碍、脑脊液漏等情况。建议术后定 ...
    2025-9-27 16:13
  • 脑出血植物人醒来的概率是多少?
    脑出血植物人醒来的概率是多少?
    脑出血植物人苏醒的概率约为10%-20%,具体与脑损伤程度、昏迷持续时间、年龄及并发症控制等因素相关。脑出血导致的植物状态苏醒概率受多重因素影响。早期脑损伤程度较轻的患者,若出血量控制在30毫升以内且未累及脑 ...
    2025-9-27 16:13
  • 脑梗塞灶能治好吗?
    脑梗塞灶能治好吗?
    脑梗塞灶能否治好取决于梗塞灶的大小、位置以及治疗时机,多数患者通过及时治疗可以改善症状并减少后遗症。脑梗塞灶的治疗效果与发病后就医时间密切相关。在发病后3-4.5小时内接受静脉溶栓治疗,部分患者血管可再通 ...
    2025-9-27 16:13
  • 多发性脑梗塞是为什么
    多发性脑梗塞是为什么
    多发性脑梗塞可能由高血压、动脉粥样硬化、心脏病、糖尿病、血液高凝状态等原因引起。多发性脑梗塞通常表现为肢体麻木、言语障碍、头晕头痛、吞咽困难、认知功能下降等症状。可通过控制基础疾病、抗血小板治疗、康复 ...
    2025-9-27 16:13
  • 外伤颅内出血的症状是什么?
    外伤颅内出血的症状是什么?
    外伤颅内出血的症状主要有头痛、呕吐、意识障碍、肢体无力、瞳孔异常等。外伤颅内出血通常由头部受到外力撞击、脑血管畸形、高血压等因素引起,可能伴随颅内压增高、脑组织损伤等症状。1、头痛头痛是外伤颅内出血的 ...
    2025-9-27 16:13
  • 脑梗塞腿无法恢复
    脑梗塞腿无法恢复
    脑梗塞后腿功能障碍的恢复程度与梗死部位、治疗时机及康复干预有关,部分患者通过规范治疗可改善功能,但严重损伤可能遗留永久性运动障碍。脑梗塞导致的运动功能障碍主要涉及大脑运动皮层或传导通路损伤,需结合药物 ...
    2025-9-27 16:13
  • 脑出血能吃鸡蛋吗?
    脑出血能吃鸡蛋吗?
    脑出血是非外伤性脑实质性内出血,约占急性脑血管疾病的20%~80%左右,出血部位多发生在脑半球,少发生在脑干和脑等部位。据全国脑出血诊治指南统计,我国每10万人中约有12至15例脑出血患者,该病多发于50岁以上的中 ...
    2025-9-27 16:13
  • 左额叶脑梗塞怎么办?
    左额叶脑梗塞怎么办?
    左额叶脑梗塞可通过溶栓治疗、抗血小板聚集治疗、神经保护治疗、康复训练、手术治疗等方式治疗。左额叶脑梗塞通常由动脉粥样硬化、心源性栓塞、小动脉闭塞、血液高凝状态、血管炎等原因引起。1、溶栓治疗溶栓治疗是 ...
    2025-9-27 16:13
  • 开颅手术后的饮食禁忌是什么?
    开颅手术后的饮食禁忌是什么?
    开颅手术后需避免高盐、辛辣刺激、坚硬及含酒精食物,建议选择高蛋白、易消化、富含维生素的流质或半流质饮食。术后饮食禁忌主要有避免高盐食物、忌辛辣刺激食物、禁食坚硬食物、戒除酒精饮品、控制咖啡因摄入等。1 ...
    2025-9-27 16:13
  • 脑梗塞几天进入稳定期?
    脑梗塞几天进入稳定期?
    脑梗塞一般7-14天进入稳定期,具体时间与梗死面积、治疗时机及个体差异有关。脑梗塞发病后1-3天内为急性期,此时脑组织缺血缺氧最严重,可能出现神经功能缺损症状加重。4-7天进入亚急性期,脑水肿逐渐消退,侧支循环 ...
    2025-9-27 16:13