神经外科
  • 颅咽管瘤手术后怎么办?
    颅咽管瘤手术后怎么办?
    颅咽管瘤手术后可通过定期复查、激素替代治疗、营养支持、康复训练、心理疏导等方式促进恢复。颅咽管瘤通常由先天性残余颅咽管组织异常增生引起,术后可能出现尿崩症、视力障碍、垂体功能低下等症状。1、定期复查术 ...
    2025-10-5 16:14
  • 如何根据脑出血量选择治疗方案
    如何根据脑出血量选择治疗方案
    脑出血治疗方案需根据出血量、出血部位及患者整体状况综合判断,少量出血可保守治疗,中等量出血需药物干预,大量出血需手术清除血肿。出血量在10毫升以下且无严重神经功能缺损时,通常采取保守治疗。密切监测生命体 ...
    2025-10-5 16:14
  • 脑出血昏迷30天会放弃吗?
    脑出血昏迷30天会放弃吗?
    脑出血昏迷30天是否放弃治疗需根据患者具体情况综合评估,主要影响因素有脑损伤程度、生命体征稳定性、并发症控制情况、家属意愿及经济条件等。昏迷时间长短并非唯一决策标准,需结合医学指标多维度判断。1、脑损伤 ...
    2025-10-5 16:14
  • 脑梗塞后头晕是怎么回事?
    脑梗塞后头晕是怎么回事?
    脑梗塞后头晕可能与脑组织缺血损伤、前庭系统功能障碍、血压波动、药物副作用、心理因素等原因有关。可通过改善脑循环、前庭康复训练、血压管理、调整用药方案、心理疏导等方式缓解。1.脑组织缺血损伤脑梗塞导致局部 ...
    2025-10-5 16:14
  • 脑血栓前兆头皮麻木吗?
    脑血栓前兆头皮麻木吗?
    脑血栓前兆可能出现头皮麻木的症状。脑血栓的前兆主要有短暂性肢体无力、言语不清、头晕头痛、视物模糊、头皮麻木等表现。这些症状通常由脑血管血流受阻、血小板聚集、动脉粥样硬化斑块脱落等因素引起。1、短暂性肢 ...
    2025-10-5 16:14
  • 摔到后脑勺后要注意什么
    摔到后脑勺后要注意什么
    摔到后脑勺后需注意观察意识状态、头痛程度、呕吐频率及肢体活动情况,警惕颅内出血或脑震荡风险。主要关注点包括意识是否清醒、有无持续加重的头痛、反复呕吐、肢体无力或抽搐等神经系统异常表现。头部外伤后24小时 ...
    2025-10-5 16:14
  • 脑梗塞半身不遂的恢复概率是多少?
    脑梗塞半身不遂的恢复概率是多少?
    脑梗塞半身不遂的恢复概率为30-70%,具体与病情严重程度、康复干预时机及个体差异等因素相关。脑梗塞后半身不遂的恢复程度受多种因素影响。早期康复介入的患者恢复概率较高,发病后1-3个月内开始系统康复训练的患者 ...
    2025-10-5 16:14
  • 脑梗塞患者长期生病的原因
    脑梗塞患者长期生病的原因
    脑梗塞患者长期生病可能与血管病变未控制、基础疾病管理不当、康复训练不足、并发症反复发作、生活方式未改善等因素有关。脑梗塞是由脑部血液供应障碍导致脑组织缺血缺氧性坏死引起的疾病,患者需长期综合管理以降低 ...
    2025-10-5 16:14
  • 脑主干出血会活过来吗
    脑主干出血会活过来吗
    脑主干出血患者能否存活需根据出血量、救治时机及并发症严重程度综合判断。部分患者经及时救治可存活,但可能遗留神经功能障碍;若出血量大或合并脑疝,死亡率极高。脑主干出血指脑干实质内血管破裂导致的出血,该区 ...
    2025-10-5 16:14
  • 右侧蛛网膜囊肿严重吗?
    右侧蛛网膜囊肿严重吗?
    右侧蛛网膜囊肿是否严重需根据囊肿大小、位置及是否引起症状综合判断。多数情况下无明显症状的蛛网膜囊肿无须特殊处理,若出现头痛、癫痫或神经功能障碍则需医疗干预。蛛网膜囊肿可能与先天性发育异常、外伤或感染等 ...
    2025-10-5 16:14
  • 急性脑出血能治好吗?
    急性脑出血能治好吗?
    急性脑出血能否治好取决于出血量、部位及救治时机,部分患者通过及时治疗可显著改善预后。急性脑出血的治疗方式主要有控制血压、降低颅内压、手术清除血肿、预防并发症及康复训练。建议立即就医,由神经外科或神经内 ...
    2025-10-4 16:13
  • 侧脑室宽度的原因
    侧脑室宽度的原因
    侧脑室宽度增大的原因主要有遗传因素、脑脊液循环障碍、脑萎缩、颅内感染、脑出血等。侧脑室宽度增大可能与多种生理或病理因素有关,建议及时就医明确病因。1、遗传因素部分胎儿期出现的侧脑室增宽与染色体异常或遗 ...
    2025-10-4 16:13
  • 脑出血能引起脑疝吗?
    脑出血能引起脑疝吗?
    脑出血可能引起脑疝。脑疝是脑组织因压力差发生移位并压迫脑干等结构的危重并发症,脑出血后血肿占位效应或脑水肿导致颅内压升高时可能诱发脑疝。脑出血后血肿直接压迫周围脑组织,或继发脑水肿使颅内压力急剧升高, ...
    2025-10-4 16:13
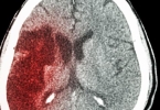
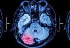
  • 脑出血最常见的部位在哪里?
    脑出血最常见的部位在哪里?
    脑出血最常见的部位是基底节区,其次是丘脑、脑叶、小脑和脑干。脑出血可能是高血压、脑血管畸形、动脉瘤破裂等原因引起的,建议患者及时就医。基底节区位于大脑深部,是脑出血最高发的区域,约占所有脑出血病例的一 ...
    2025-10-4 16:13
  • 脑水肿需要手术吗?
    脑水肿需要手术吗?
    脑水肿是否需要手术需根据具体病情决定。多数情况下可通过药物治疗缓解,少数病情严重或药物控制不佳时需手术干预。脑水肿早期通常采用药物脱水降颅压治疗,常用甘露醇注射液、呋塞米片等药物减轻脑组织水肿。患者需 ...
    2025-10-4 16:13
  • 小脑萎缩的治疗方法
    小脑萎缩的治疗方法
    小脑萎缩可通过药物治疗、康复训练、生活方式调整、心理干预、手术治疗等方式改善。小脑萎缩可能与遗传因素、脑血管疾病、中毒、感染、外伤等因素有关,通常表现为共济失调、言语障碍、眼球震颤等症状。1、药物治疗 ...
    2025-10-4 16:13
  • 脑出血患者为什么烦躁不睡觉?
    脑出血患者为什么烦躁不睡觉?
    脑出血患者烦躁不睡觉可能与颅内压增高、脑组织损伤、疼痛刺激、代谢紊乱或药物副作用等因素有关。脑出血后脑组织水肿或血肿压迫可导致颅内压升高,引发头痛、意识障碍及精神症状;脑损伤直接影响情绪调节中枢时,可 ...
    2025-10-4 16:13
  • 脑疝的形成过程是怎样的?
    脑疝的形成过程是怎样的?
    脑疝是颅内压急剧升高导致脑组织移位并嵌入颅腔生理性间隙或孔道的病理过程,通常由颅内血肿、肿瘤、脑水肿等因素引起。根据移位方向可分为小脑幕切迹疝、枕骨大孔疝等类型。一、颅内压升高脑疝形成的首要条件是颅内 ...
    2025-10-4 16:13
  • 脑疝昏迷多久能醒来?
    脑疝昏迷多久能醒来?
    脑疝昏迷苏醒时间通常为1-30天,具体与脑损伤程度、治疗时机等因素相关。脑疝是颅内压急剧升高导致的危重症,需立即就医干预。脑疝昏迷后若及时解除颅内高压并纠正原发病,部分患者可能在1-7天内逐渐恢复意识。这类 ...
    2025-10-4 16:13
  • 化脓性脑膜炎的饮食
    化脓性脑膜炎的饮食
    化脓性脑膜炎患者应选择易消化、高蛋白、富含维生素的食物,如米粥、蒸蛋羹、西蓝花等,避免辛辣刺激及高脂饮食。疾病急性期需以流质或半流质为主,恢复期可逐步过渡到普通饮食。一、急性期饮食发病初期可能出现高热 ...
    2025-10-4 16:13