神经外科
  • 脑穿刺手术是大手术吗?
    脑穿刺手术是大手术吗?
    脑穿刺手术属于神经外科中等偏上的手术,其风险程度和操作难度介于常规手术与重大手术之间。脑穿刺手术主要用于脑组织活检、血肿引流或脓肿抽吸等,具体风险与病灶位置、患者基础状况等因素相关。脑穿刺手术需要在严 ...
    2025-10-1 16:14
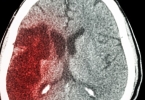
  • 脑溢血的症状
    脑溢血的症状
    脑溢血的症状主要有头痛、呕吐、意识障碍、肢体偏瘫和语言障碍等。脑溢血是指非外伤性脑实质内血管破裂引起的出血,多由高血压、动脉硬化等因素导致,发病急骤且病情危重,需立即就医。1、头痛突发剧烈头痛是脑溢血 ...
    2025-10-1 16:13
  • 如何开发左右脑
    如何开发左右脑
    开发左右脑可通过多种方式实现,主要包括感官刺激训练、肢体协调运动、音乐绘画活动、逻辑思维游戏以及语言学习练习。1、感官刺激训练通过交替使用双眼观察不同颜色或形状的物体,有助于激活右脑的视觉空间处理能力 ...
    2025-10-1 16:13
  • 脑梗说不出话怎么治疗
    脑梗说不出话怎么治疗
    脑梗说不出话可通过溶栓治疗、抗血小板治疗、语言康复训练、神经保护治疗、手术治疗等方式改善。脑梗通常由动脉粥样硬化、心源性栓塞、小动脉闭塞等原因引起,伴随肢体麻木、吞咽困难等症状。1、溶栓治疗急性期脑梗 ...
    2025-10-1 16:13
  • 脑血栓的前兆是什么?
    脑血栓的前兆是什么?
    脑血栓前兆主要表现为短暂性脑缺血发作,常见症状包括突发单侧肢体无力、言语不清、视物模糊、头晕目眩及平衡障碍。脑血栓可能由动脉粥样硬化、高血压、心房颤动、糖尿病或高脂血症等因素引起,需及时就医干预。1、 ...
    2025-10-1 16:13
  • 右颞部蛛网膜囊肿严重吗?
    右颞部蛛网膜囊肿严重吗?
    右颞部蛛网膜囊肿是否严重需根据囊肿大小及症状判断,多数情况下属于良性病变且无需特殊处理,若伴随头痛、癫痫等症状则需医疗干预。右颞部蛛网膜囊肿是脑脊液在蛛网膜下腔异常积聚形成的囊性结构,通常为先天性发育 ...
    2025-10-1 16:13
  • 脑出血瞳孔扩大是什么意思?
    脑出血瞳孔扩大是什么意思?
    脑出血如果瞳孔放大,意味着患者的预后极差。瞳孔放大是动眼神经受累的表现,脑出血患者的血肿和血肿周围的浮肿带有占有效果,占有效果明显可能引起脑疝。脑疝是指脑内组织通过生理性和非生理性的孔向其他地方移位, ...
    2025-10-1 16:13
  • 颈动脉瘤的症状和治疗方法是什么?
    颈动脉瘤的症状和治疗方法是什么?
    颈动脉瘤的症状可能包括颈部搏动性肿块、声音嘶哑、吞咽困难、头痛以及脑缺血表现。治疗方法主要有药物治疗、血管内介入治疗和外科手术治疗。1、颈部搏动性肿块颈动脉瘤患者在颈部可触及随心跳同步搏动的肿块,触摸 ...
    2025-10-1 16:13
  • 脑干胶质瘤该怎么办
    脑干胶质瘤该怎么办
    脑干胶质瘤可通过手术切除、放射治疗、化学治疗、靶向治疗、免疫治疗等方式干预。脑干胶质瘤通常由基因突变、环境因素、辐射暴露、病毒感染、遗传综合征等原因引起。1、手术切除手术切除是局限性脑干胶质瘤的首选方 ...
    2025-10-1 16:13
  • 如何开发孩子的右脑
    如何开发孩子的右脑
    开发孩子的右脑可通过艺术创作、音乐训练、空间想象游戏、肢体协调活动和双语学习等方式实现。右脑主导形象思维、创造力和直觉能力,针对性训练有助于提升孩子的综合认知水平。1、艺术创作绘画、陶艺等视觉艺术能刺 ...
    2025-10-1 16:13
  • 治疗脑供血不足的方法是什么?
    治疗脑供血不足的方法是什么?
    治疗脑供血不足可通过调整生活方式、控制基础疾病、药物治疗、手术治疗及康复训练等方式改善。脑供血不足通常由动脉粥样硬化、高血压、颈椎病等因素引起,表现为头晕、头痛、视物模糊等症状。1、调整生活方式戒烟限 ...
    2025-10-1 16:13
  • 脑疝患者有恢复的可能性吗?
    脑疝患者有恢复的可能性吗?
    脑疝患者存在恢复的可能性,但恢复程度与病情严重程度、救治及时性以及并发症控制密切相关。脑疝通常由颅内压急剧升高导致脑组织移位引起,常见于严重颅脑外伤、脑出血、脑肿瘤等疾病。早期识别和紧急干预是改善预后 ...
    2025-9-30 16:14
  • 脑出血瞳孔的表现如何?
    脑出血瞳孔的表现如何?
    脑出血瞳孔表现可能包括瞳孔不等大、对光反射迟钝或消失、瞳孔固定散大等。脑出血是脑血管破裂导致的颅内出血,可能由高血压、动脉瘤、血管畸形等因素引起,需紧急就医处理。1、瞳孔不等大脑出血患者可能出现双侧瞳 ...
    2025-9-30 16:14
  • 交通事故开颅手术的成功率是多少?
    交通事故开颅手术的成功率一般在60%-90%,具体与损伤部位、手术时机、术后护理等因素相关。交通事故导致的颅脑损伤类型多样,开颅手术成功率差异较大。脑挫裂伤患者术后存活率通常为70%-85%,硬膜外血肿清除术成功率 ...
    2025-9-30 16:14
  • 轻微的脑血栓严重吗?
    轻微的脑血栓严重吗?
    轻微的脑血栓一般不严重,但需要及时干预以防止病情进展。脑血栓的严重程度与血栓位置、大小及侧支循环建立情况有关,多数轻微脑血栓患者通过规范治疗可有效控制症状。轻微脑血栓通常表现为短暂性肢体无力、言语含糊 ...
    2025-9-30 16:14
  • 脑膜瘤是大手术吗?
    脑膜瘤是大手术吗?
    脑膜瘤手术是否属于大手术需根据肿瘤位置、大小及生长速度综合判断。多数情况下脑膜瘤手术属于神经外科中等规模手术,若肿瘤体积大、毗邻重要血管神经或位于颅底等复杂区域则手术风险显著增加。脑膜瘤生长缓慢且体积 ...
    2025-9-30 16:14
  • 脑梗塞后遗症应如何锻炼
    脑梗塞后遗症应如何锻炼
    脑梗塞后遗症可通过肢体功能训练、平衡协调训练、语言康复训练、认知功能训练、日常生活能力训练等方式改善。脑梗塞后遗症通常由神经功能缺损、肌肉萎缩、关节挛缩、吞咽功能障碍、认知障碍等原因引起。1、肢体功能 ...
    2025-9-30 16:14
  • 开颅手术吃什么食物恢复快
    开颅手术吃什么食物恢复快
    开颅手术又称穿颅手术,是颅骨外科手术。开颅手术是指通过机械设备开启患者的头骨,进行非常规的治疗。开颅手术风险高,如医生的错误操作会导致患者脑组织损伤,开颅手术也有争议。那么患者做开颅手术后吃什么恢复快 ...
    2025-9-30 16:14
  • 脑出血钻孔引流的术后处理
    脑出血钻孔引流的术后处理
    脑出血钻孔引流术后处理主要包括密切监测生命体征、保持引流管通畅、预防感染、控制血压及早期康复干预等措施。患者需严格卧床休息,医护人员会定期观察意识状态、瞳孔变化及肢体活动情况,引流袋需每日更换并记录引 ...
    2025-9-30 16:13
  • 脑出血引流手术的危险期一般是几天?
    脑出血引流手术的危险期一般是几天?
    脑出血引流手术的危险期一般是3-7天,具体时间与出血量、手术时机、术后并发症等因素有关。脑出血引流手术后3天内是病情最不稳定的阶段。此时颅内压波动较大,可能出现再出血或脑水肿加重。术后24小时内需密切监测意 ...
    2025-9-30 16:13