溶栓治疗适用于急性心肌梗死、缺血性脑卒中、肺栓塞等血栓性疾病,禁忌证包括活动性出血、近期大手术或严重外伤、难以控制的高血压等。治疗需严格评估风险收益比,由专业医生执行。

1. 溶栓治疗的适应证
急性心肌梗死发病12小时内,溶栓可快速溶解冠状动脉血栓,恢复血流。常用药物包括阿替普酶、尿激酶、链激酶。缺血性脑卒中发病4.5小时内,静脉溶栓能改善神经功能缺损,降低致残率。肺栓塞伴血流动力学不稳定时,溶栓可迅速减轻右心负荷,挽救生命。
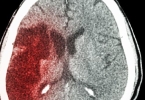
2. 溶栓治疗的禁忌证

活动性内脏出血或颅内出血病史患者绝对禁止溶栓。近期3周内接受过大手术、分娩或器官活检者,血管创伤风险显著增加。血压超过180/110mmHg时,溶栓可能诱发脑出血。其他相对禁忌证包括严重肝肾功能不全、感染性心内膜炎、糖尿病视网膜病变等出血高风险人群。
3. 临床实施要点
治疗前需完善血常规、凝血功能、心电图等检查。给药期间持续监测生命体征,观察有无牙龈出血、皮下瘀斑等出血征象。脑卒中患者溶栓后24小时内禁止留置胃管或导尿管。心肌梗死患者溶栓后仍需进行冠状动脉造影评估血管再通情况。

溶栓治疗是抢救血栓性急症的关键手段,但必须严格把握适应症与禁忌症。患者出现胸痛、偏瘫、呼吸困难等症状时应立即就医,由急诊科、心内科、神经科等多学科团队联合评估。治疗成功的关键在于早期识别、快速决策和规范操作,同时做好出血并发症的应急预案。