当前位置: 首页 标签 脑出血
关于脑出血的文章
  • 脑动脉瘤脑出血手术后能活多久
    脑动脉瘤脑出血手术后能活多久
    脑动脉瘤脑出血手术后生存期通常为数年至数十年不等,实际生存时间受到手术效果、出血严重程度、术后护理、基础疾病控制及康复训练等因素影响。1、手术效果:手术成功与否直接影响预后。介入栓塞术或开颅夹闭术若完 ...
    2025-12-9 16:30
  • 脑出血微创后七天出院正常吗
    脑出血微创后七天出院正常吗
    脑出血微创手术后七天出院一般是正常的。脑出血微创手术创伤较小,恢复较快,若术后病情稳定且无并发症,通常可在7-10天内出院。脑出血微创手术包括钻孔引流术、神经内镜血肿清除术等,具有创伤小、恢复快的优势。术 ...
    2025-12-7 16:18
  • 脑出血术后并发症有哪些
    脑出血术后并发症有哪些
    脑出血术后并发症主要有肺部感染、消化道出血、再出血、脑水肿、癫痫等。脑出血术后并发症与手术创伤、基础疾病、术后护理等因素有关,需密切监测并及时干预。1、肺部感染脑出血术后患者因长期卧床、吞咽功能障碍或 ...
    2025-12-6 16:19
  • 脑出血后中风怎么处理
    脑出血后中风怎么处理
    脑出血后中风需立即就医,处理方式主要有保持呼吸道通畅、控制血压、降低颅内压、预防并发症、康复治疗等。1、保持呼吸道通畅脑出血后中风患者可能出现意识障碍或呕吐,需将头部偏向一侧防止误吸,必要时进行气管插 ...
    2025-12-5 16:26
  • 68岁大爷吃降压药6年,却脑出血离世!医生:他犯了3个致.命错误
    68岁大爷吃降压药6年,却脑出血离世!医生:他犯了3个致.命错误
    68岁大爷服用降压药6年突发脑出血,这个悲剧给所有高血压患者敲响警.钟!降压药不是护身符,错误用药比不吃更危险。今天我们就来揭开那些容易被忽视的用药雷区。一、血压达标就停药?大错特错!1、血压正常是药物作 ...
    2025-12-4 16:24
  • 47岁男子血压稳定,清晨突发脑出血去世,医生叹息:太无知
    47岁男子血压稳定,清晨突发脑出血去世,医生叹息:太无知
    47岁正值壮年,却在某个平静的早晨突然倒下。这样的悲剧并非个例,很多人以为血压正常就万事大吉,殊不知健康管理是个系统工程。那些被忽视的细节,往往成为压.垮骆驼的最后一根稻草。一、血压正常≠绝对安全1.血压 ...
    2025-12-4 16:24
  • 眼睛近视挂什么科
    眼睛近视挂什么科
    眼睛近视需要挂眼科,可能与遗传因素、用眼习惯不良、眼部疾病、全身性疾病、眼部发育异常等因素有关。一、眼科眼科是专门诊断和治疗眼部疾病的科室,负责近视的验光、配镜及矫正。近视可能与遗传因素有关,父母双方 ...
    2025-12-3 16:17
  • 低聚果糖是什么
    低聚果糖是一种天然存在于多种蔬菜水果中的可溶性膳食纤维,属于益生元的一种。一、成分来源低聚果糖天然存在于菊苣、洋葱、大蒜、香蕉等植物中,也可通过酶解法从蔗糖工业化制备。其分子由果糖单元通过特定糖苷键连 ...
    2025-12-3 16:17
  • 脑出血和脑梗塞预后哪个不易恢复
    脑出血和脑梗塞预后哪个不易恢复
    脑出血和脑梗塞的预后恢复情况通常与病情严重程度、治疗时机等因素有关,多数情况下脑梗塞的神经功能恢复概率高于脑出血,但脑出血的急性期死亡率更高。脑梗塞患者由于缺血性损伤的病理特点,部分脑组织在血管再通后 ...
    2025-11-30 16:19
  • 车祸脑出血开颅手术能活多久
    车祸脑出血开颅手术能活多久
    车祸导致的脑出血开颅手术后生存时间通常为数月到数年,实际预后受出血量、损伤部位、手术时机、并发症管理和康复治疗五大因素影响。1、出血量:脑出血量是核心预后指标。30毫升以下出血经及时清除血肿后,患者五年 ...
    2025-11-28 16:25
  • 脑出血后遗症的治疗方法是什么
    脑出血后遗症的治疗方法是什么
    脑出血后遗症可通过康复训练、药物治疗、物理治疗、心理干预、手术治疗等方式改善。脑出血后遗症通常由神经功能缺损、脑组织损伤、代谢紊乱、心理障碍、并发症等因素引起。1、康复训练康复训练是改善脑出血后遗症的 ...
    2025-11-25 16:24
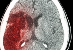
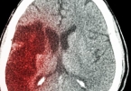
  • 急性脑出血头颅CT和核磁哪个更合适
    急性脑出血头颅CT和核磁哪个更合适
    急性脑出血患者首选头颅CT检查,必要时可结合核磁共振辅助诊断。头颅CT能快速明确出血部位和范围,核磁共振对亚急性期出血、血管畸形等病因鉴别更具优势。头颅CT是急性脑出血的一线影像学检查手段,扫描速度快,对急 ...
    2025-11-24 16:21
  • 什么样的人容易患脑出血病
    什么样的人容易患脑出血病
    脑出血高危人群主要包括高血压患者、长期吸烟饮酒者、中老年人群、脑血管畸形患者及有脑出血家族史者。主要风险因素有血压控制不佳、血管壁损伤、凝血功能异常、血管结构异常及遗传易感性。1、高血压患者:长期未控 ...
    2025-11-19 16:22
  • 大便用力脑出血多久有征兆
    大便用力脑出血多久有征兆
    大便用力诱发脑出血的征兆通常在数分钟至数小时内出现,主要表现包括突发剧烈头痛、呕吐、肢体无力、言语不清和意识障碍。脑出血征兆的显现速度与出血量、出血部位及个体基础健康状况密切相关。1、头痛:脑出血最早 ...
    2025-11-16 16:16
  • 外伤脑出血开颅手术恢复后能活多久
    外伤脑出血开颅手术恢复后能活多久
    外伤性脑出血开颅术后患者的生存期通常可达5年以上,具体时间与出血量、术后护理、康复训练、基础疾病控制及并发症预防密切相关。1、出血量:脑出血量直接影响脑组织损伤程度。30毫升以下的出血经及时手术清除后,神 ...
    2025-11-14 16:20
  • 脑出血患者康复后吃什么药为什么会出现脑出血
    脑出血患者康复后吃什么药为什么会出现脑出血
    脑出血患者康复后可在医生指导下使用阿托伐他汀钙片、阿司匹林肠溶片、尼莫地平片、胞磷胆碱钠胶囊、甲钴胺片等药物。脑出血可能由高血压、脑血管畸形、脑淀粉样血管病、凝血功能障碍、长期酗酒等因素引起。一、阿托 ...
    2025-11-3 16:19
  • 脑出血术后怎么算清醒
    脑出血术后怎么算清醒
    脑出血术后清醒的判断标准主要包括意识恢复、肢体活动、语言表达、遵嘱动作和生命体征稳定等方面。脑出血术后患者清醒的表现主要有能自主睁眼、正确应答、肢体遵嘱活动、定向力正常、疼痛刺激有反应等。意识恢复是判 ...
    2025-10-27 16:20
  • 脑出血康复训练方法是什么
    脑出血康复训练方法是什么
    脑出血康复训练方法主要有肢体功能训练、语言康复训练、吞咽功能训练、认知功能训练、日常生活能力训练等。脑出血后康复训练需根据患者具体情况制定个性化方案,建议在专业康复医师指导下循序渐进进行。1、肢体功能 ...
    2025-10-24 16:23
  • 40岁脑出血能恢复正常吗
    40岁脑出血能恢复正常吗
    40岁脑出血患者能否恢复正常主要取决于出血量、损伤部位及康复干预时机,多数患者通过系统治疗可部分或完全恢复功能,主要影响因素包括早期溶栓治疗、血肿清除手术、神经功能康复训练、并发症防控以及心理支持。1、 ...
    2025-10-23 16:22
  • 摔跤摔出脑出血会有什么危险
    摔跤摔出脑出血会有什么危险
    摔跤导致脑出血可能引发颅内压增高、神经功能损伤、意识障碍、继发感染及生命危险。脑出血的危险性主要与出血量、部位、年龄及基础疾病等因素相关。1、颅内压增高:脑出血后血液积聚在颅腔内,可能压迫脑组织导致颅 ...
    2025-10-20 16:23