车祸导致的脑出血开颅手术后生存时间通常为数月到数年,实际预后受出血量、损伤部位、手术时机、并发症管理和康复治疗五大因素影响。

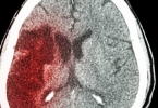
脑出血量是核心预后指标。30毫升以下出血经及时清除血肿后,患者五年生存率可达60%以上;超过50毫升的大出血即使手术成功,常遗留严重神经功能障碍。出血量直接影响脑组织受压程度,术后需通过CT动态监测再出血风险。
脑干或基底节区出血预后较差,这些区域控制生命中枢和运动功能,术后可能出现长期昏迷或偏瘫。而额叶等非功能区出血通过康复训练可获得较好功能代偿,部分患者能恢复基本生活能力。
黄金抢救期为出血后4-6小时,此时手术能最大限度挽救濒死脑细胞。超过24小时才接受开颅的患者,脑水肿和继发损伤已形成,术后生存期可能缩短30%-50%。急诊CT评估后需立即决定手术方案。

肺部感染、深静脉血栓和应激性溃疡是常见致死并发症。术后需加强气道护理、早期床旁康复和质子泵抑制剂预防,规范处理并发症可使生存期延长1-2年。癫痫发作需持续使用丙戊酸钠等抗惊厥药物控制。
术后3-6个月是神经功能恢复关键期,高压氧联合运动疗法能改善脑缺氧。坚持语言训练和肢体功能锻炼的患者,约40%可在1年内恢复部分工作能力。家庭支持程度显著影响长期生存质量。

术后需保持低盐低脂饮食预防高血压复发,每日摄入22-25千卡/千克体重的均衡营养。早期进行被动关节活动度训练,3个月后逐步过渡到站立平衡练习。定期复查头颅CT监测脑积水等迟发问题,心理疏导有助于改善创伤后应激障碍。建议选择具备神经重症监护条件的医院定期随访。