内科
  • 白肺治疗能恢复吗?能治好是真的吗
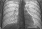
    白肺治疗能恢复吗?能治好是真的吗
    白肺治疗能恢复,但恢复情况取决于病因、严重程度及治疗时机。白肺通常指肺部影像学检查中呈现大片白色区域,常见于重症肺炎、急性呼吸窘迫综合征等疾病。早期诊断和规范治疗是恢复的关键。1、白肺的常见病因包括感 ...
    2025-3-2 16:16
    呼吸内科
  • 什么是白肺的症状表现能治好吗
    什么是白肺的症状表现能治好吗
    白肺的症状包括呼吸困难、咳嗽、发热和血氧饱和度下降,通过积极治疗可以改善病情。治疗方法包括药物治疗、氧疗和机械通气等。1、白肺的症状表现呼吸困难是白肺的典型症状,患者常感到气短,尤其是在活动后情况加重 ...
    2025-3-2 16:16
    呼吸内科
  • 春季精神健康危机?5种科学疗法助你平稳度过!
    春季精神健康危机?5种科学疗法助你平稳度过!
    春天来了精神病多,针对此类情况,可采取中药调理、心理行为疗法、电抽搐治疗、经颅磁刺激、运动疗法等方法进行治疗。如果症状持续或加重,应尽快就医以获得专业的评估和治疗。1.中药调理通过辨证施治,使用具有镇静 ...
    2025-3-2 16:16
    神经内科
  • 白肺症状老人如何治疗效果好
    白肺症状老人如何治疗效果好
    白肺症状老人治疗效果好的关键在于及时就医、综合治疗以及良好的护理支持。白肺通常由肺部感染、炎症或其他严重疾病引起,老年人因免疫力较低,易发展为重症,需尽早干预。1、及时就医。白肺是一种严重的肺部疾病, ...
    2025-3-2 16:16
    呼吸内科
  • 春季老年精神病高发?4大诱因揭秘,预防与治疗全攻略
    春季老年精神病高发?4大诱因揭秘,预防与治疗全攻略
    春季老年精神病多发,可能与生物节律、遗传因素、环境因素、社会因素等有关,建议患者及时到医院精神科就诊,完善脑电图检查、CT检查、心理测评等,在医生指导下进行针对性治疗。1、生物节律:进入春季后昼夜温差会 ...
    2025-3-2 16:16
    神经内科
  • 白肺症状可以治好吗能活多久啊
    白肺症状可以治好吗能活多久啊
    白肺症状的治疗效果和生存期取决于病因、病情严重程度及治疗时机。早期发现并积极治疗,部分患者可以治愈,生存期也能有效延长。治疗方式包括药物、氧疗、机械通气等,医生会根据具体情况制定方案。1、病因与病情分 ...
    2025-3-2 16:16
    呼吸内科
  • 春季抽动症5大疗法:行为训练+中药调理,轻松缓解症状
    春季抽动症5大疗法:行为训练+中药调理,轻松缓解症状
    春季抽动症可采取行为疗法、中药调理、肌肉放松训练、心理支持治疗、抗精神病药物治疗。1.行为疗法行为疗法通过正面强化、塑造等技术来减少不良行为,如给予奖励以增强良好行为。此方法适用于改变患者的刻板动作,建 ...
    2025-3-2 16:16
    神经内科
  • 新生儿白肺治好后有后遗症吗
    新生儿白肺治好后有后遗症吗
    新生儿白肺治愈后是否会有后遗症取决于病情的严重程度和治疗是否及时。大多数情况下,经过规范治疗后不会留下明显后遗症,但部分重症患儿可能出现长期呼吸功能异常或发育迟缓。1、新生儿白肺的原因新生儿白肺主要是 ...
    2025-3-2 16:16
    呼吸内科
  • 上班时犯困最简单的提神方法
    上班时犯困最简单的提神方法
    上班时犯困最简单的提神方法包括调整饮食、适量运动、改善睡眠质量和环境调节。这些方法可以有效缓解困倦,提高工作效率。1、调整饮食。避免摄入过多高糖、高脂肪食物,选择富含蛋白质和纤维的食物,如全麦面包、鸡 ...
    2025-3-2 16:16
    神经内科
  • 春季脑血管病预防全攻略:5大关键措施守护你的健康
    春季脑血管病预防全攻略:5大关键措施守护你的健康
    预防春季脑血管病可以采取合理饮食控制体重、规律运动促进血液循环、避免吸烟和限制饮酒、保持充足睡眠、定期体检监测血压血脂等措施。1.合理饮食控制体重合理饮食有助于维持健康体重,减少脂肪堆积对血管壁的压力。 ...
    2025-3-2 16:16
    神经内科
  • 脑子记忆力减退迟钝怎么办
    脑子记忆力减退迟钝怎么办
    记忆力减退和迟钝可能由多种因素引起,包括生理、心理和环境等方面。改善记忆力可以从调整生活习惯、饮食结构和心理状态入手,必要时需寻求医疗帮助。1、生理因素导致的记忆力减退通常与大脑功能下降有关。年龄增长 ...
    2025-3-2 16:16
    神经内科
  • 春季精神疾病高发?5大诱因揭秘,预防复发这样做最有效!
    春季精神疾病高发?5大诱因揭秘,预防复发这样做最有效!
    春季易复发的精神病,主要包括精神分裂症、双相情感障碍、神经症、偏执性精神障碍等。建议精神病患者积极就医,并进行有效治疗,以防病情反复发作。1、精神分裂症:精神分裂症是一种严重性的精神疾病,可能与遗传因 ...
    2025-3-2 16:16
    神经内科
  • 如何治疗婴儿春季过敏性鼻炎
    如何治疗婴儿春季过敏性鼻炎
    婴儿春季过敏性鼻炎的治疗主要是环境控制、药物治疗、免疫治疗等,具体治疗方案需由医生根据病情决定。1.环境控制:如果婴儿对花粉过敏,在春季花粉季节尽量减少外出,关闭窗户,使用空气净化器等。保持室内清洁,定 ...
    2025-3-2 16:16
    免疫科
  • 春季精神障碍高发期:如何预防复发?这3个关键点不可忽视!
    春季精神障碍高发期:如何预防复发?这3个关键点不可忽视!
    精神病一般指神经障碍。通常情况下,神经障碍患者在春季比较容易复发。精神障碍是一类病因未明的重性精神疾病,在临床上主要表现为感知觉、思维、情感、行为等心理活动障碍以及认知功能损害,包括躁狂症、抑郁症、强 ...
    2025-3-2 16:16
    神经内科
  • 记忆力越来越差怎么恢复记忆力
    记忆力越来越差怎么恢复记忆力
    记忆力变差可以通过改善生活方式、调整饮食、进行认知训练等方式逐步恢复。核心原因是脑部功能下降、压力过大、睡眠不足或营养缺乏。1、改善生活方式充足的睡眠对记忆力恢复至关重要。睡眠不足会影响大脑的认知功能 ...
    2025-3-2 16:16
    神经内科
  • 春季皮肤过敏怎么办?5种科学治疗方法帮你轻松应对!
    春季皮肤过敏怎么办?5种科学治疗方法帮你轻松应对!
    春季过敏皮肤可通过中药内服、抗组胺药、激素类药膏、免疫调节剂、光疗等方法进行治疗。1.中药内服通过口服具有清热解毒、祛风止痒功效的中药材来缓解春季过敏性皮肤。例如,可选用金银花、连翘等药材。适用于轻至中 ...
    2025-3-2 16:16
    免疫科
  • 新生儿肺动脉高压治疗方法有哪些
    新生儿肺动脉高压治疗方法有哪些
    新生儿肺动脉高压是一种严重的疾病,及时治疗至关重要,治疗方法包括药物治疗、手术治疗和呼吸支持。新生儿肺动脉高压的病因复杂,可能与围产期窒息、先天性心脏病、宫内感染等因素有关。这些因素导致肺血管收缩或发 ...
    2025-3-2 16:16
    心血管内科
  • 春季唇部起皮刺痛应如何处理
    春季唇部起皮刺痛应如何处理
    春季唇部起皮刺痛可能是由于气候干燥、过敏、感染等原因引起的,可以通过多喝水、使用润唇膏、避免舔唇、抗过敏治疗、药物治疗等方法进行处理。1.多喝水:春季气候干燥,人体水分流失较快,容易导致唇部干燥起皮。因 ...
    2025-3-2 16:16
    神经内科
  • 春季如何防治小儿丘疹性荨麻疹
    春季如何防治小儿丘疹性荨麻疹
    丘疹性荨麻疹是婴幼儿常见的一种过敏性皮肤病。常在春夏秋季发病。春季由于天气转暖,许多昆虫开始活跃起来,具有过敏素质倾向的儿童则可致病。丘疹性荨麻疹往往好发在躯干、四肢伸侧,但头面部较少被波及。皮损表现 ...
    2025-3-2 16:16
    免疫科
  • 春季应该吃些什么来抵抗疲劳
    春季应该吃些什么来抵抗疲劳
    春季气温变化大,人体的新陈代谢也会随着气温的变化而变化,所以春季容易感到疲劳。建议通过以下饮食来抵抗疲劳:1.富含蛋白质的食物:瘦肉、鱼、家禽、豆类、坚果和奶制品等富含蛋白质的食物有助于维持肌肉和骨骼健 ...
    2025-3-2 16:16
    心血管内科