牙龈疼可能会引起腮下淋巴肿大和疼痛。牙龈炎症可能扩散至邻近淋巴结,导致免疫反应性肿大,但需排除其他病因。

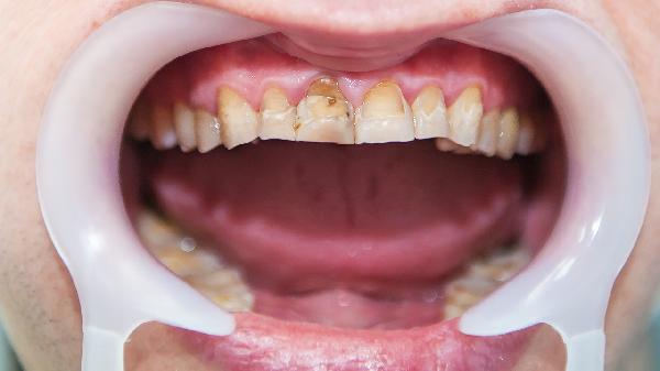
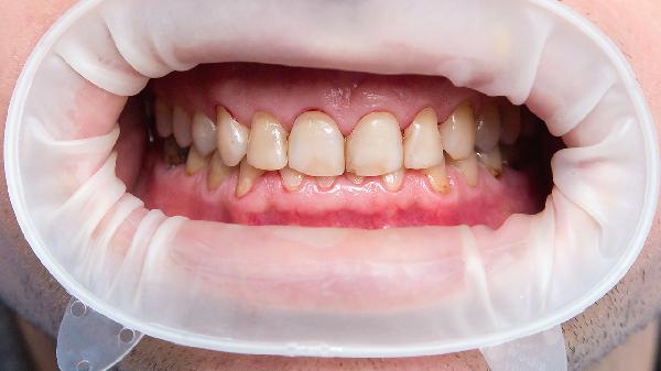
牙龈炎症多由牙菌斑堆积、龋齿或智齿冠周炎等引起。当细菌感染突破局部组织屏障时,病原体可经淋巴管引流至下颌淋巴结,引发免疫应答。此时淋巴结表现为黄豆至蚕豆大小、质地柔软且有触痛的肿块,通常伴随牙龈红肿、自发痛或咀嚼痛。轻度炎症引起的淋巴结反应多在1-2周内随口腔问题缓解而消退。日常可用淡盐水漱口,避免辛辣刺激食物,保持口腔卫生有助于控制感染扩散。

若淋巴结持续肿大超过两周,或出现硬结、固定不移、夜间盗汗等症状,需警惕结核感染、淋巴系统疾病或恶性肿瘤转移等非牙源性病因。此类情况常伴随体重下降、长期低热等全身症状,与单纯牙龈炎引起的淋巴结反应存在差异。临床需通过血常规、超声或病理活检进一步鉴别。反复发作的牙龈炎症合并淋巴结肿大者,建议完善血糖检测排除糖尿病等基础疾病。

出现牙龈疼痛伴淋巴结肿大时,建议及时就诊口腔科明确病因。日常应使用软毛牙刷清洁牙齿,定期进行口腔检查,控制牙菌斑形成。避免用力按压肿大淋巴结,观察期间如发现淋巴结迅速增大或皮肤发红破溃,须立即就医。