淋巴细胞绝对值10.9×10⁹/L属于轻度升高,需结合临床表现和其他检查综合判断。

淋巴细胞绝对值正常参考范围为1.1-3.2×10⁹/L,10.9×10⁹/L明显超过上限。生理性升高常见于病毒感染如流感、传染性单核细胞增多症等,通常伴随发热、咽痛等症状,病程具有自限性,1-2周可自行恢复。部分儿童疫苗接种后也可能出现暂时性淋巴细胞增多,无须特殊处理。

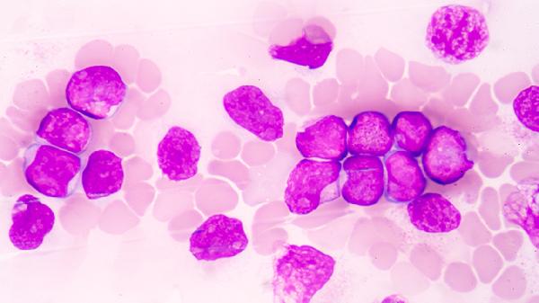
病理性升高需考虑血液系统疾病可能,如慢性淋巴细胞白血病患者淋巴细胞常持续超过5×10⁹/L,多伴有淋巴结肿大、乏力等症状;某些淋巴瘤或结核病等慢性感染也可导致类似改变。若淋巴细胞升高合并血红蛋白或血小板异常,建议完善骨髓穿刺检查。

发现淋巴细胞升高时建议复查血常规,观察动态变化。日常需保持充足休息,避免剧烈运动,饮食注意补充优质蛋白和维生素C。若持续升高或伴随体重下降、夜间盗汗等症状,应及时至血液科就诊,必要时进行外周血涂片、流式细胞学等专项检查。