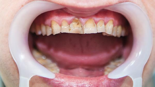
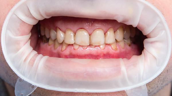
牙龈肥大可能由牙龈炎、药物影响、内分泌变化、遗传因素、维生素缺乏等原因引起,牙龈肥大可通过口腔清洁、药物治疗、手术切除等方式治疗。

牙龈炎是牙龈肥大的常见原因,可能与牙菌斑堆积、牙结石刺激等因素有关,通常表现为牙龈红肿、出血等症状。牙龈炎的治疗措施包括定期洗牙、使用复方氯己定含漱液、过氧化氢溶液等药物漱口,必要时可遵医嘱使用甲硝唑片、阿莫西林胶囊等抗生素。
长期服用苯妥英钠片、硝苯地平片等药物可能导致牙龈增生肥大,通常表现为牙龈组织过度生长、质地坚韧等症状。药物性牙龈肥大的治疗需在医生指导下调整用药方案,同时加强口腔卫生,严重时可考虑牙龈成形术。
妊娠期、青春期等特殊生理时期可能出现激素相关性牙龈肥大,通常表现为牙龈充血肿胀、易出血等症状。这种情况应注意保持口腔卫生,使用软毛牙刷,必要时可遵医嘱使用复方硼砂含漱液缓解症状。

遗传性牙龈纤维瘤病是一种罕见的遗传性疾病,表现为牙龈进行性肥大,可能影响牙齿排列和咀嚼功能。治疗以手术切除增生牙龈组织为主,术后需定期复查防止复发。
长期维生素C缺乏可能导致牙龈组织脆弱、易出血和增生,通常伴有口腔黏膜病变等症状。改善饮食结构,增加新鲜蔬菜水果摄入,必要时可遵医嘱补充维生素C片改善症状。

牙龈肥大患者应注意保持口腔卫生,每日至少刷牙两次,使用牙线清洁牙缝,定期进行口腔检查。饮食上避免过硬过烫食物,减少吸烟饮酒等不良习惯。若牙龈肥大持续加重或影响咀嚼功能,应及时就诊口腔科进行专业治疗。孕期女性出现牙龈肥大应告知产科医生,避免自行使用药物。