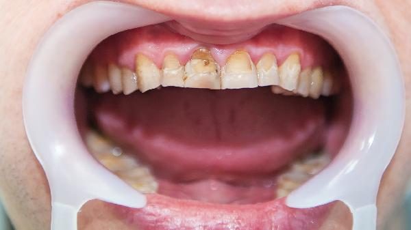
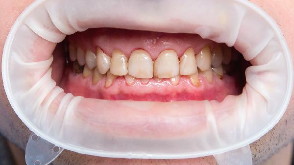
牙龈露出牙齿根部可能与牙龈萎缩、牙周炎、牙齿排列不齐、刷牙方式不当、遗传因素等原因有关。牙龈萎缩通常表现为牙齿敏感、牙根暴露等症状,需根据具体原因采取针对性治疗。

牙龈萎缩是牙龈组织向牙根方向退缩的病理现象,可能与长期机械刺激或炎症有关。患者常出现牙齿敏感、牙根暴露等症状。治疗需消除刺激因素,如改用软毛牙刷,必要时可遵医嘱使用复方氯己定含漱液、西吡氯铵含片等药物控制炎症。
牙周炎会导致牙槽骨吸收和牙龈退缩,表现为牙龈红肿、牙根暴露。该病与菌斑堆积、吸烟等因素相关。治疗需进行牙周基础治疗,配合使用甲硝唑口腔粘贴片、盐酸米诺环素软膏等药物,严重者需接受牙龈移植手术。
牙齿错位排列可能造成局部牙龈受力异常,长期可导致牙龈退缩。患者可能伴有咀嚼功能障碍。建议进行正畸治疗改善牙齿排列,日常使用牙线清洁牙缝,避免使用硬质牙签刺激牙龈。

横向用力刷牙或使用硬毛牙刷可能机械性损伤牙龈,导致牙龈退缩。表现为刷痕状牙龈缺损。应改用巴氏刷牙法,选择软毛牙刷,必要时使用脱敏牙膏缓解牙齿敏感症状。
部分人群牙龈组织较薄,存在遗传性牙龈退缩倾向。这类患者牙龈更易受外界刺激影响。需加强口腔卫生维护,定期进行牙周检查,避免食用过硬食物造成牙龈创伤。

日常应注意采用正确的巴氏刷牙法,每日使用牙线清洁牙缝,每半年进行一次专业洁牙。避免吸烟、过量饮酒等损害牙龈健康的行为。若出现持续牙龈出血、牙齿松动等症状,应及时就诊口腔科进行牙周检查。饮食上可适量增加维生素C含量丰富的西蓝花、猕猴桃等食物,有助于维持牙龈健康。