感染鼻病毒一般不会引起肺炎,但少数情况下可能诱发肺炎。鼻病毒是普通感冒的主要病原体,通常表现为上呼吸道感染症状,但在免疫功能低下或存在基础肺部疾病的人群中,可能引发下呼吸道感染。

鼻病毒感染主要局限于鼻咽部,常见症状包括鼻塞、流涕、喉咙痛和咳嗽,病程具有自限性。病毒通过飞沫或接触传播,感染后机体产生的免疫反应通常能有效阻止病毒向下呼吸道扩散。儿童、老年人及慢性阻塞性肺疾病患者出现并发症的概率相对较高,但发展为肺炎的情况仍属少见。

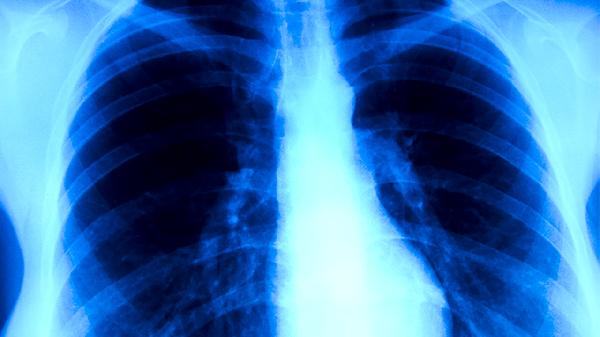
当鼻病毒感染合并细菌感染或患者存在免疫功能缺陷时,病毒可能突破上呼吸道屏障。这种情况下病毒可侵袭支气管和肺泡,导致间质性肺炎或病毒性肺炎,临床表现为持续高热、呼吸急促、血氧饱和度下降等。早产儿、未控制的哮喘患者及长期使用免疫抑制剂的人群需特别警惕病情进展。

出现呼吸频率增快、胸痛或咳脓性痰等预警症状时应及时就医。日常需保持室内通风,避免接触呼吸道感染患者,慢性呼吸道疾病患者可遵医嘱接种肺炎球菌疫苗和流感疫苗以降低混合感染风险。确诊病毒性肺炎后需进行支持治疗,必要时在医生指导下使用抗病毒药物。