支原体肺炎主要由肺炎支原体感染引起,常见诱因包括免疫力低下、密切接触传播、季节气候因素、基础呼吸道疾病及儿童青少年易感性。

免疫功能受损人群更易感染肺炎支原体。长期熬夜、慢性消耗性疾病患者、使用免疫抑制剂者及老年人群体,呼吸道黏膜屏障功能减弱,无法有效清除病原体。这类人群需加强营养摄入,保证充足睡眠,必要时在医生指导下进行免疫调节。
肺炎支原体通过飞沫传播,在封闭拥挤环境中易造成群体感染。学校、托幼机构、家庭等场所中,感染者咳嗽、打喷嚏产生的气溶胶可导致密切接触者发病。保持室内通风、佩戴口罩、勤洗手是有效预防手段。
秋冬季发病率显著升高,寒冷干燥空气会削弱呼吸道防御能力。气温骤变时人体应激反应可能影响免疫应答,同时室内活动增加加速病原体传播。建议根据气温变化及时增减衣物,保持居住环境适宜湿度。

慢性支气管炎、哮喘等患者呼吸道黏膜完整性受损,更易发生支原体定植感染。这类患者感染后症状往往较重,可能出现喘息加重、持续低热等症状。控制基础疾病、规范使用吸入药物可降低感染风险。
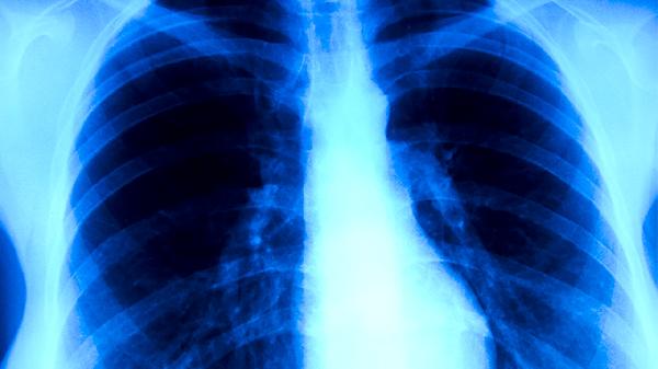
5-15岁群体因免疫系统发育不完善,成为高发人群。学校等集体环境加速传播,临床常见班级聚集性病例。患儿多表现为顽固性干咳伴中低热,肺部体征不明显但胸片显示斑片影,需及时进行血清抗体检测确诊。

预防支原体肺炎需建立健康生活习惯,每日保证30分钟有氧运动如快走、游泳,增强呼吸道抗病能力。饮食注意补充维生素A、C及锌元素,多食用深色蔬菜、柑橘类水果及坚果。出现持续咳嗽伴发热症状时,建议尽早就医进行病原学检查,避免盲目使用抗生素。恢复期应保持充足休息,避免剧烈运动诱发心肌损伤等并发症。