矽肺主要由长期吸入游离二氧化硅粉尘引起。游离二氧化硅广泛存在于石英砂、花岗岩、砂岩等矿物中,采矿、凿岩、玻璃制造等职业接触者风险最高。矽肺的致病物质主要有结晶型二氧化硅粉尘、无定形二氧化硅粉尘、混合性粉尘、高浓度粉尘环境暴露、长期职业接触史等因素。

结晶型二氧化硅是矽肺的主要致病物质,其晶体结构尖锐易穿透肺泡。石英砂加工、陶瓷生产等作业中产生的粉尘含大量α-石英,被吸入后会被巨噬细胞吞噬并释放炎症因子,导致肺组织纤维化。接触此类粉尘需佩戴防尘口罩,定期进行肺功能检查,高危职业人群应调离粉尘作业环境。
无定形二氧化硅虽致病性较弱,但长期吸入仍可能诱发矽肺。硅藻土开采、硅胶生产等工序产生的非晶体粉尘,在肺部沉积后可能逐渐转化为结晶态。此类作业环境需加强湿式降尘,工人应使用防护面罩,工作后及时清洗鼻腔。
煤矿、铸造等行业粉尘常混合金属氧化物与二氧化硅,协同作用会加速肺损伤。铸铁车间清砂作业时,二氧化硅与铁粉尘混合物的致纤维化能力显著增强。此类复合暴露需采用综合防尘措施,包括局部排风、喷雾抑尘和个人防护装备联合应用。

隧道掘进、石材切割等作业场所粉尘浓度超过10mg/m³时,即使短期暴露也可能致病。爆破产生的瞬时高浓度硅尘可直接损伤呼吸道纤毛,增加粉尘滞留概率。此类环境必须实施工程防护,采用密闭化操作与自动化设备降低暴露风险。
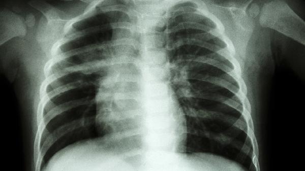
持续5年以上接触二氧化硅粉尘的工人,肺部病变概率明显上升。矽肺潜伏期可达10-20年,早期表现为咳嗽胸闷,后期出现进行性肺纤维化。建议接触史超3年者每年进行高分辨率CT检查,确诊后应立即终止粉尘接触。

预防矽肺需采取三级防护策略。工程控制上采用湿法作业与密闭设备,个人防护选用KN100级防尘口罩,健康监护包括上岗前体检与定期胸片检查。饮食注意补充优质蛋白与维生素A,避免吸烟加重肺损伤。出现持续干咳、劳力性呼吸困难等症状时,应及时到职业病防治机构就诊,晚期病例可考虑肺灌洗治疗。