查气管和肺部应挂呼吸内科,呼吸内科是专门诊断和治疗呼吸系统疾病的科室,涵盖气管、肺部及相关疾病。

呼吸内科是专门处理气管、肺部及呼吸系统疾病的科室,涵盖常见疾病如支气管炎、肺炎、哮喘等。医生通过听诊、影像学检查、肺功能测试等手段进行诊断。对于疑似气管或肺部问题,呼吸内科是最合适的科室。
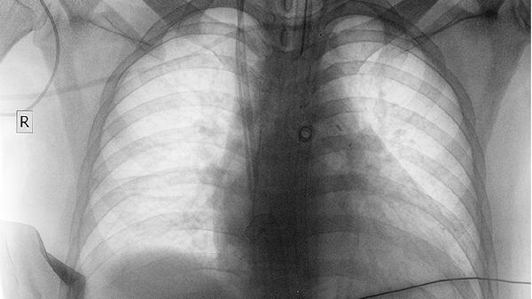
影像学检查是诊断气管和肺部疾病的重要手段,包括胸部X光、CT扫描等。这些检查可以清晰显示气管和肺部的结构,帮助医生发现炎症、肿瘤、积液等异常。根据检查结果,医生会制定相应的治疗方案。
肺功能测试用于评估肺部的通气和换气功能,常用于诊断哮喘、慢性阻塞性肺病等疾病。通过测量肺活量、呼气流量等指标,医生可以判断肺部功能是否正常。对于长期咳嗽、呼吸困难的患者,这项检查尤为重要。

针对气管和肺部疾病,治疗方案包括药物治疗、物理治疗和手术治疗。药物治疗常用抗生素、支气管扩张剂、激素等;物理治疗如雾化吸入、呼吸训练;手术治疗适用于严重病例,如肺切除、气管支架植入等。
预防气管和肺部疾病的关键在于保持良好的生活习惯,如戒烟、避免接触有害气体、加强锻炼等。饮食上可多摄入富含维生素C的食物,如柑橘类水果、绿叶蔬菜,有助于增强免疫力。定期体检也是早期发现疾病的重要手段。

查气管和肺部应挂呼吸内科,通过影像学检查、肺功能测试等手段进行诊断,并根据病情制定相应的治疗方案。保持良好的生活习惯和饮食习惯,如戒烟、多摄入富含维生素C的食物,有助于预防呼吸系统疾病。定期体检和及时就医是维护气管和肺部健康的关键。