当前位置: 首页 养生保健 四季养生 春季养生

小儿花粉过敏有哪些症状 4招巧妙应对儿童花粉过敏

发布者:云开雾散 时间:2022-4-1 18:30

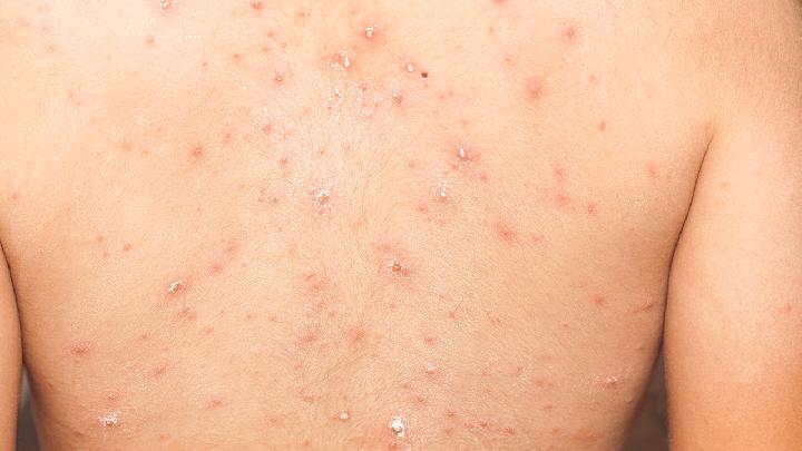
孩子皮肤上起了小红斑或是咳嗽不止、眼睛流泪等症状有时候让妈妈们摸不着头脑,其实这可能都是花粉过敏惹的祸。那么儿童花粉过敏有哪些症状呢?

什么是花粉过敏

花粉直径一般在30~50微米左右,它们在空气中飘散时,极易被人吸进呼吸道内。有花粉过敏史的人吸入这些花粉后,会产生过敏反应,这就是花粉过敏症。花粉之所以会引起人体过敏,是由于花粉内含有丰富的蛋白质,其中某些蛋白质成分是产生过敏的主要致敏源。花粉过敏症的主要症状为打喷嚏、流涕、流眼泪,鼻、眼及外耳道奇痒,严重者还会诱发气管炎、支气管哮喘、肺心病(多发在夏秋季)。

花粉过敏的症状

花粉过敏的小儿主要有三种表现:一是"花粉过敏性鼻炎",鼻痒、打喷嚏、流涕、鼻子堵塞、呼吸不畅等;二是"花粉过敏性哮喘",表现为阵发性咳嗽、呼吸困难、有白色泡沫样黏液、突发性哮喘发作并渐重,好后与正常人无二;三是"花粉过敏性结膜炎",表现为小儿的眼睛发痒、眼睑肿胀,并常伴有水样或脓性黏液分泌物出现。

儿童花粉过敏怎么办

1、出门带齐“装备”。需要带孩子外出时,可以准备口罩、眼镜、帽子等装备,这些装备可以一定程度减少孩子与花粉的接触。

2、如果孩子身上出现了疙瘩,先带着孩子去看医生,看看是不是对花粉过敏?还是别的什么原因引起的?尽量不要让孩子用指甲去抓痒,以免抓破。家长这个时候可以先给孩子涂抹一些药膏,用指头肚轻轻的擦均匀。也不要给孩子穿着紧身的衣服。最好是棉质的,衣服也稍微宽松一点,这样透气性比较好。

3、在家可以购置空气过滤设备。花粉传播可以用“无孔不入”来形容,因此可以考虑借助空气过滤设备来净化空气,减少花粉等粉尘对孩子造成的健康困扰。

4、强健的体质有助于宝宝对抗过敏来袭,而保证宝宝体质强壮的最佳方式就是营养均衡的饮食。对于容易过敏的宝宝来说,妈妈们更应该关注宝宝每日饮食中的营养搭配,让宝宝从食物中摄取更多更均衡的营养,让健康升值。

相关阅读

  • 谷雨到底是什么意思 2025年谷雨是哪一天
    谷雨到底是什么意思 2025年谷雨是哪一天
    你知道谷雨节气意味着什么吗?它不仅是春天的重要节气之一,还和农业生产息息相关。2025年的谷雨将出现在4月20日,届时各地的气候变化会对农业、生态环境产生影响。本文将深入探讨谷雨的含义,并为你解答其相关问题 ...
    08-19
  • 谷雨是几号 谷雨是24节气中的第几个节气
    谷雨是几号 谷雨是24节气中的第几个节气
    2025年的谷雨节气落在4月20日,这一天是农历乙巳年庚辰月己未日,即三月廿三。谷雨作为二十四节气中的第六个节气,也是春季的最后一个节气,承载着丰富的农耕文化和自然气候特征。一、谷雨的气候特征谷雨时节,太阳 ...
    04-14
  • 谷雨节气和谁有关 谷雨节气是怎么来的
    谷雨节气和谁有关 谷雨节气是怎么来的
    谷雨节气与古代农耕文明紧密相连,其起源可追溯至先民对自然规律的观察与总结。作为春季最后一个节气,谷雨既反映了降水增多、谷物生长的物候现象,也承载着中华民族数千年的农事智慧与文化传承。这一节气既是自然节 ...
    04-14
  • 2025年谷雨是哪一天 谷雨在24节气里排第几
    2025年谷雨是哪一天 谷雨在24节气里排第几
    谷雨是中国传统农历中的二十四节气之一,2025年的谷雨将于4月20日迎来。谷雨作为春季的最后一个节气,标志着春天即将结束,夏天的脚步渐近。在二十四节气中,谷雨排在第六位,通常出现在4月19日至4月21日之间,是一 ...
    04-14
  • 谷雨节气都有哪些特点和风俗?
    谷雨节气都有哪些特点和风俗?
    谷雨节气是春季最后的节气,降水量开始增加,对农业生产具有重要意义。与此同时,谷雨也有许多民间风俗活动,反映了人们对丰收和气候变化的关注。本文将为你详细介绍谷雨节气的气候特点和传统风俗,帮助你更好地了解 ...
    04-14
  • 2025年谷雨是几号 谷雨节气的真正含义是什么
    2025年谷雨是几号 谷雨节气的真正含义是什么
    你知道谷雨节气是几号吗?2025年的谷雨将在4月20日到来,这一天标志着春季最后的节气的到来。谷雨不仅仅是一个节气,更是农业生产的重要节点。本文将详细探讨谷雨节气的历史背景、气候特点以及它对农业的深远影响。 ...
    04-14
  • 今年春分是几月几日几点?这些时间信息早知道!
    今年春分是几月几日几点?这些时间信息早知道!
    春分不仅是季节更替的标志,更蕴含着丰富的科学知识和文化内涵。本文将深入探讨春分的天文学背景、传统习俗,以及如何在这一时节进行健康养生。2025年春分的具体时间根据天文学资料,2025年的春分将发生在3月20日17 ...
    03-20
  • 春分的特点和风俗有哪些?带你领略传统节气魅力!
    春分的特点和风俗有哪些?带你领略传统节气魅力!
    春分不仅仅是气候上的转折点,也承载着深厚的传统文化。从竖蛋游戏到春祭活动,古人以不同方式迎接春天的到来。而在现代,春分也是调整作息、适量运动的好时机。本文将带你了解春分的气候特点、民间风俗,并结合科学 ...
    03-20
  • 春分是什么意思?一文读懂这个重要节气的内涵!
    春分是什么意思?一文读懂这个重要节气的内涵!
    春分,作为二十四节气之一,标志着春天的中点,是一个充满生机与希望的时刻。每年的3月20日或21日,当太阳运行到黄经0时,我们迎来了春分。这个节气不仅在天文学上有着特殊的意义,也在人们的生活习俗、农事活动以及 ...
    03-18
  • 春分是什么时候?教你掌握节气时间规律!
    春分是什么时候?教你掌握节气时间规律!
    春分通常发生在每年3月20日至21日,是昼夜等长、万物复苏的重要节气。此时,气温逐渐回暖,但昼夜温差较大,需注意保暖。春分习俗丰富,包括竖蛋、放风筝、祭祀祖先等。此外,春分也是养生的好时机,可通过调节饮食 ...
    03-18