当前位置: 首页 标签 手术
关于手术的文章
  • 糖尿病胃转流手术后果
    糖尿病胃转流手术后果
    糖尿病胃转流手术可能改善血糖控制,但也存在术后并发症风险。胃转流手术主要用于治疗肥胖合并2型糖尿病患者,通过改变胃肠解剖结构减少食物吸收并调节激素分泌。胃转流手术后可能获得显著减重效果,部分患者术后血 ...
    2026-1-15 16:19
  • 眼角膜手术多少钱
    眼角膜手术多少钱
    眼角膜手术一般需要5000-30000元,具体费用可能与手术方式、病情复杂程度、医疗机构等因素有关。角膜移植手术费用通常在20000-30000元,包括术前检查、手术操作、术后用药等环节。板层角膜移植手术费用相对较低,约1 ...
    2026-1-15 16:19
  • 手术刀口发紧牵拉感
    手术刀口发紧牵拉感
    手术刀口发紧牵拉感通常是术后正常愈合过程中的生理反应,可能与瘢痕组织形成、局部炎症反应、皮肤张力改变等因素有关。若伴随红肿渗液或持续疼痛需警惕感染或愈合异常。术后早期因胶原纤维增生和伤口收缩,刀口周围 ...
    2026-1-15 16:19
  • 整形手术的利与弊有哪些
    整形手术的利与弊有哪些
    整形手术的利与弊需根据个体需求及手术类型综合评估,常见益处包括改善外观缺陷、修复功能损伤,弊端可能涉及手术风险、术后并发症等。整形手术能够帮助矫正先天或后天导致的外形缺陷,例如唇裂修复、烧伤后瘢痕整形 ...
    2026-1-15 16:19
  • 鹰钩鼻矫正只能手术吗
    鹰钩鼻矫正只能手术吗
    鹰钩鼻矫正不一定需要手术,可通过非手术注射填充、手术矫正等方式改善。具体方式主要有鼻部注射填充、鼻翼软骨调整术、鼻骨截骨术、鼻中隔延长术、鼻尖成形术等。1、鼻部注射填充适用于轻度鹰钩鼻或不愿接受手术者 ...
    2026-1-15 16:17
  • 哪种双眼皮手术方法好呢
    哪种双眼皮手术方法好呢
    双眼皮手术方法的选择需根据个人眼部条件决定,埋线法适合眼皮薄且无松弛的年轻人群,三点定位法适合轻度松弛者,全切法则适用于眼皮松弛或脂肪堆积者。埋线法通过缝合线形成双眼皮褶皱,创伤小且恢复快,但维持时间 ...
    2026-1-15 16:16
  • 做了宫腹腔镜手术后输卵管还会堵塞吗
    做了宫腹腔镜手术后输卵管还会堵塞吗
    宫腹腔镜手术后输卵管可能再次堵塞,与术后护理、炎症控制、粘连预防、手术技术及个体差异有关。1、术后护理不当:术后过早同房或剧烈运动可能引发感染,导致输卵管二次粘连。需严格遵医嘱禁欲1个月,避免提重物,定 ...
    2026-1-15 16:14
  • 什么情况先化疗再手术
    先化疗再手术的情况主要包括肿瘤体积较大难以直接切除、局部晚期癌症需缩小病灶、存在高风险转移倾向的恶性肿瘤等。这种治疗模式称为新辅助化疗,常用于乳腺癌、结直肠癌、骨肉瘤等特定癌症类型。新辅助化疗的核心目 ...
    2026-1-14 16:22
  • 去眼袋手术有可能发生后遗症吗
    去眼袋手术有可能发生后遗症吗
    去眼袋手术有可能发生后遗症,但概率较低且多数可逆。常见后遗症包括暂时性肿胀、淤青,少数可能出现眼睑外翻、感染或瘢痕增生。术后早期可能出现肿胀和皮下淤血,属于正常组织反应,通常1-2周逐渐消退。部分患者因 ...
    2026-1-14 16:18
  • 附睾炎动手术切除什么
    附睾炎动手术切除什么
    附睾炎通常不需要手术切除,多数病例通过药物治疗和保守治疗可缓解。手术干预仅适用于反复发作的慢性附睾炎、合并脓肿或严重组织坏死的特殊情况,可能涉及附睾部分切除或附睾-睾丸联合切除。1、药物治疗:急性附睾炎 ...
    2026-1-13 16:20
  • 宫外孕手术后小腹隐痛是什么原因导致的
    宫外孕手术后小腹隐痛是什么原因导致的
    宫外孕手术后小腹隐痛可能与术后恢复、炎症反应、盆腔粘连、输卵管痉挛或继发感染等因素有关。宫外孕手术通常指异位妊娠手术,包括腹腔镜手术或开腹手术,术后小腹隐痛属于常见现象,但需结合具体表现判断是否需要进 ...
    2026-1-13 16:20
  • 肾错构瘤微创手术后注意事项有哪些
    肾错构瘤微创手术后注意事项有哪些
    肾错构瘤微创手术后注意事项主要有保持伤口清洁、避免剧烈运动、定期复查、合理饮食、观察排尿情况等。肾错构瘤是肾脏常见的良性肿瘤,微创手术创伤小、恢复快,但术后仍需科学护理。1、保持伤口清洁术后需每日用碘 ...
    2026-1-13 16:18
  • 去眼袋的手术多少钱
    去眼袋的手术多少钱
    去眼袋的手术一般需要5000-30000元,具体费用可能与手术方式、麻醉类型、医疗机构等因素有关。去眼袋手术的费用范围较广,主要受手术方式影响。内切法眼袋手术创伤较小,恢复较快,费用通常在5000-15000元。外切法眼 ...
    2026-1-13 16:18
  • 黑眼圈激光手术的利与弊
    黑眼圈激光手术的利与弊
    黑眼圈激光手术的利与弊需根据个体情况综合评估,激光手术可改善色素沉着型或血管型黑眼圈,但存在术后红肿、色素异常等风险。激光手术通过选择性光热作用分解黑色素或封闭异常血管,对色素型黑眼圈效果较显著,术后 ...
    2026-1-13 16:18
  • 胸腹部畸形手术价格多少钱
    胸腹部畸形手术价格多少钱
    胸腹部畸形手术价格通常在3万至15万元之间,具体费用受手术类型、医院等级、麻醉方式和术后护理等因素影响。1、手术类型:漏斗胸矫正术采用Nuss微创手术约5-8万元,传统胸骨翻转术约3-5万元,重度畸形可能需要多次手 ...
    2026-1-13 16:16
  • 先天性肩胛骨畸形手术费
    先天性肩胛骨畸形手术费
    先天性肩胛骨畸形手术费用约3-8万元,具体受手术方式、医院等级、地区差异、术后康复、并发症处理等因素影响。1、手术方式:常见术式包括肩胛骨下移术、肩胛骨截骨术、软组织松解术。传统开放手术费用较低约3-5万元 ...
    2026-1-13 16:16
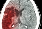
  • 脑出血打眼手术引流的有什么后果
    脑出血打眼手术引流的有什么后果
    脑出血打眼手术引流可能导致颅内感染、再出血、脑脊液漏等并发症,但多数情况下可有效降低颅内压。该手术属于微创治疗手段,需严格评估适应症并由专业医生操作。脑出血打眼手术引流后较常见的后果是局部组织损伤。手 ...
    2026-1-12 16:21
  • 电波拉皮除皱手术的详细介绍
    电波拉皮除皱手术的详细介绍
    电波拉皮除皱手术是一种通过射频能量刺激胶原蛋白再生以达到紧致皮肤的非侵入性美容治疗。该技术主要适用于面部皮肤松弛、细纹及轻度皱纹的改善,具有恢复期短、副作用较少的特点。电波拉皮利用特定频率的电磁波穿透 ...
    2026-1-12 16:21
  • 什么是完全性前置胎盘胎盘植入手术方式
    什么是完全性前置胎盘胎盘植入手术方式
    完全性前置胎盘合并胎盘植入的手术方式主要有子宫切除术、胎盘原位保留术、子宫动脉栓塞术、髂内动脉结扎术及介入性球囊阻断术五种。1、子宫切除术:适用于无生育需求或大出血危及生命的情况。通过开腹或腹腔镜切除 ...
    2026-1-12 16:19
  • 双眼皮修复手术效果好吗
    双眼皮修复手术效果好吗
    双眼皮修复手术效果通常较好,但具体效果与个人眼部条件、医生技术及术后护理等因素有关。双眼皮修复手术主要针对初次手术效果不佳、形态不对称、瘢痕明显等问题进行矫正,能够改善眼部外观和功能。双眼皮修复手术的 ...
    2026-1-12 16:17