当前位置: 首页 标签 牙齿
关于牙齿的文章
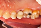
  • 牙齿侧面边烂了个洞怎么办
    牙齿侧面边烂了个洞怎么办
    牙齿侧面出现龋洞需及时修复,主要因细菌侵蚀、清洁不足或饮食不当导致。治疗方法包括补牙、嵌体修复或根管治疗,日常需加强清洁和饮食控制。1. 龋洞形成原因细菌产酸腐蚀牙釉质是直接诱因。长期堆积的牙菌斑分解食 ...
    2025-5-6 16:15
  • 小苏打粉刷牙能美白牙齿吗,怎么用
    小苏打粉刷牙能美白牙齿吗,怎么用
    小苏打粉刷牙能轻微美白牙齿,主要通过物理摩擦去除表面色素,但无法改变牙齿本质颜色,需配合正确方法使用。美白效果有限,长期使用可能损伤牙釉质,建议每周不超过2次,敏感者慎用。1. 小苏打美白牙齿的原理小苏打 ...
    2025-5-6 16:15
  • 牙齿流血止不住是什么疾病的前兆
    牙齿流血止不住是什么疾病的前兆
    牙齿流血止不住可能是牙周炎、血液系统疾病或维生素缺乏的征兆,需及时就医排查病因。常见原因包括口腔卫生不良、凝血功能障碍或全身性疾病,治疗需针对具体病因采取口腔清洁、药物或血液科干预。1. 牙周疾病牙龈炎 ...
    2025-5-4 16:11
  • 儿童牙齿矫正最佳年龄段 费用
    儿童牙齿矫正最佳年龄段 费用
    儿童牙齿矫正最佳年龄段为7-14岁,费用通常在1万-5万元之间,具体取决于矫正方式、地区经济水平和诊所资质。早期干预可借助生长发育潜力获得更好效果,固定托槽、隐形矫治和功能矫治器是常见选择。1. 最佳矫正阶段划 ...
    2025-5-4 16:11
  • 小学生睡觉磨牙齿是什么原因导致的
    小学生睡觉磨牙齿是什么原因导致的
    小学生睡觉磨牙可能由心理压力、牙齿咬合异常或肠道寄生虫引起,需针对性调整生活习惯、口腔矫正或驱虫治疗。1. 心理因素学业压力、家庭矛盾或社交困扰可能触发磨牙行为。表现为夜间规律性牙齿摩擦声,可能伴随晨起 ...
    2025-5-4 16:11
  • 牙齿矫正需要带多久的牙套
    牙齿矫正需要带多久的牙套
    牙齿矫正通常需要佩戴牙套1-3年,具体时间取决于年龄、错颌类型及矫正方案。青少年骨骼可塑性强,疗程可能缩短至1-2年;成人矫正多需2-3年。严重骨性畸形或需配合手术者可能延长至3年以上。1. 影响矫正时长的关键因 ...
    2025-5-4 16:11
  • 隐形牙齿矫正的功效与作用
    隐形牙齿矫正的功效与作用
    隐形牙齿矫正通过透明牙套渐进式调整牙齿排列,兼具美观与功能改善双重功效。主要作用包括纠正错颌畸形、改善咬合功能、提升口腔清洁便利性,同时避免传统托槽的明显外观问题。1. 功效与作用详解美观性提升是隐形矫 ...
    2025-5-4 16:11
  • 男子确诊后舌头牙齿全变黑
    男子确诊后舌头牙齿全变黑
    男子确诊后舌头牙齿全变黑可能与药物副作用、口腔真菌感染或代谢性疾病相关,需根据具体病因进行针对性治疗。常见原因包括抗生素使用、黑毛舌症、重金属中毒等,治疗方法涵盖药物调整、口腔清洁及专科诊疗。1. 药物 ...
    2025-5-4 16:11
  • 牙齿上的黑色污垢怎么去除
    牙齿上的黑色污垢怎么去除
    牙齿上的黑色污垢主要由牙菌斑、色素沉积或龋齿引起,可通过专业洁牙、日常清洁和饮食调整有效去除。牙菌斑长期堆积会矿化形成牙结石,烟渍、茶渍等外源性色素附着在牙面,龋齿导致的牙体组织破坏也会呈现黑色。1. ...
    2025-5-4 16:11
  • 牙齿松动怎么治最好的办法恢复
    牙齿松动怎么治最好的办法恢复
    牙齿松动可通过牙周治疗、固定修复和日常护理实现有效恢复,关键需针对病因采取专业干预。常见原因包括牙周炎、外伤及骨质疏松,对应治疗需结合医疗手段与生活习惯调整。1. 牙周炎是牙齿松动的首要病因。菌斑堆积导 ...
    2025-5-4 16:11
  • 超声波洗牙齿有什么好处和坏处
    超声波洗牙齿有什么好处和坏处
    超声波洗牙能有效清除牙结石和菌斑,预防牙龈疾病,但可能引发牙齿敏感或牙龈轻微出血。专业操作下利大于弊,适合每年1-2次定期清洁。1. 超声波洗牙的核心优势清除顽固牙结石效果显著。高频振动探头可击碎龈上及浅层 ...
    2025-5-3 16:13
  • 牙齿有白点是什么原因怎么治疗
    牙齿有白点是什么原因怎么治疗
    牙齿出现白点可能与釉质发育不全、早期龋齿或氟斑牙有关,需根据具体原因采取针对性治疗。主要解决方法包括加强口腔清洁、专业修复治疗及调整饮食习惯。1. 釉质发育不全牙齿发育期间因营养不良、高烧或遗传因素导致 ...
    2025-5-3 16:13
  • 牙周炎引起的牙齿松动怎么治疗
    牙周炎引起的牙齿松动怎么治疗
    牙周炎导致的牙齿松动需要及时控制炎症并修复牙周组织,治疗方法包括基础治疗、药物治疗和手术治疗三类。关键步骤是清除牙菌斑和牙结石,配合抗感染治疗,严重者需手术干预。1. 基础治疗是核心手段专业洁治和刮治能 ...
    2025-5-2 16:12
  • 用小苏打刷牙真的可以美白牙齿吗
    用小苏打刷牙真的可以美白牙齿吗
    用小苏打刷牙确实能辅助美白牙齿,但效果有限且需谨慎使用。其美白原理是物理摩擦去除表面色素,但长期使用可能损伤牙釉质。更安全的美白方式包括专业洁牙、美白牙膏和饮食调整。1. 小苏打美白牙齿的原理小苏打(碳 ...
    2025-5-2 16:11
  • 嘴唇被牙齿磕破肿了怎么办
    嘴唇被牙齿磕破肿了怎么办
    嘴唇被牙齿磕破肿了是常见口腔外伤,由外力撞击导致黏膜破损和局部充血水肿。处理需分三步:清洁消毒、消肿止痛、预防感染。 1. 清洁消毒 伤口接触唾液和食物残渣易滋生细菌。立即用生理盐水或清水冲洗,去除表面污 ...
    2025-5-2 16:11
  • 牙齿里面长了个小牙齿怎么办
    牙齿里面长了个小牙齿怎么办
    牙齿内部出现小牙齿可能是多生牙或恒牙萌出异常,需通过口腔检查明确性质后选择观察、拔除或正畸治疗。常见原因包括遗传因素、乳牙滞留或牙胚发育异常,处理方式需结合具体症状和影像学结果。1. 多生牙多生牙是牙齿 ...
    2025-5-1 16:16
  • 牙齿松动怎么办教你一招自愈
    牙齿松动怎么办教你一招自愈
    牙齿松动可能由牙周炎、外伤或骨质疏松引起,轻度松动可通过口腔护理改善,中重度需及时就医。关键措施包括正确刷牙、使用牙线和专业治疗。1. 牙周炎是牙齿松动的常见原因。细菌感染导致牙龈萎缩和牙槽骨吸收,牙齿 ...
    2025-5-1 16:16
  • 牙齿矫正大概要花费多少钱
    牙齿矫正大概要花费多少钱
    牙齿矫正的费用通常在8000元至50000元之间,具体价格受矫正方式、地区消费水平及牙齿复杂程度影响。金属托槽矫正经济实惠,隐形矫正美观但成本较高,正畸前需综合评估方案与预算。1. 矫正方式决定基础费用 金属托槽 ...
    2025-5-1 16:16
  • 矫正牙齿可以改变脸型吗?
    矫正牙齿可以改变脸型吗?
    矫正牙齿可能对脸型产生一定影响,尤其针对牙齿排列异常导致的颌面问题。效果取决于错颌类型及矫正方案,骨性畸形需结合正颌手术。1. 牙齿矫正影响脸型的原理牙齿排列直接影响颌骨发育与肌肉平衡。深覆颌矫正可缩短 ...
    2025-5-1 16:16
  • 牙齿缺损修复手术需要注意什么?
    牙齿缺损修复手术需要注意什么?
    牙齿缺损修复手术需要注意术前检查、术后护理和选择合适的修复方式。术前需全面检查口腔健康状况,术后保持口腔清洁,避免硬物刺激,修复方式包括种植牙、烤瓷牙和活动义齿等。1.术前检查是确保手术成功的关键。患者 ...
    2025-3-27 16:13