HPV(人乳头瘤病毒)感染在男性群体中也较为常见,可能引发多种健康问题。了解男性HPV的检查项目,对于早发现、早治疗至关重要。以下为您详细介绍男性检查HPV需要做的一些常见项目。
原理:HPV核酸检测是通过PCR技术,检测样本中是否存在HPV的核酸。该技术灵敏度高,能准确检测出病毒的类型和载量,包括高危型HPV16/18等。
采样:一般采用微创取样技术,对病变部位或疑似感染部位进行采样,如尿道采样等,过程相对简单,痛苦较小。
操作:在疑似病变的皮肤或黏膜表面涂抹醋酸溶液,观察局部颜色变化。如果出现白色改变,可能提示有HPV感染或亚临床感染。
特点:该方法操作简便、价格低廉,但特异性相对较低,可能出现假阳性结果,通常作为初步筛查手段。

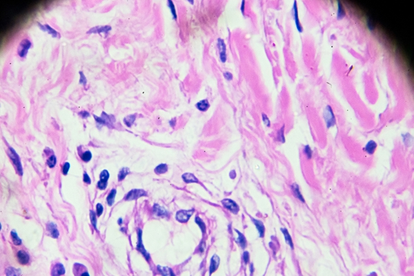
适用情况:当醋酸白试验或其他检查发现可疑病变时,可进行病理活检。通过手术切除或局部取材,对病变组织进行组织病理学检查。
诊断价值:病理活检是诊断HPV相关病变的“金标准”,可以明确病变的性质,如是否存在挖空细胞等特征性表现,有助于判断病情的严重程度。
过程:采集病变部位的细胞,制成涂片,在显微镜下观察细胞形态。可以发现一些异常细胞,对HPV感染的诊断有一定的辅助作用。
优势:细胞学检查操作简单、无创,可作为大规模筛查的方法之一,但对于早期病变的诊断准确性可能不如核酸检测和病理活检。
原理:检测血液中针对HPV的抗体。当人体感染HPV后,免疫系统会产生相应的抗体。
意义:抗体检测可以了解患者是否曾经感染过HPV,但不能确定当前是否正在感染,也无法区分病毒的类型。
HPV感染可能导致男性生殖器疣、阴茎癌等疾病,免疫力低下、有高危性行为、多性伴侣等人群感染风险较高。定期进行HPV检查,有助于及时发现病毒感染,采取相应治疗措施。
以上内容仅供参考,如有疑问,可以点击在线免费咨询。