脑瘤早期症状主要有头痛、恶心呕吐、视力障碍、癫痫发作和肢体无力等。脑瘤是指颅内异常生长的肿瘤,可能压迫脑组织或神经,引发一系列症状。

脑瘤早期头痛多表现为持续性钝痛或胀痛,常在清晨或夜间加重,咳嗽或用力时疼痛可能加剧。这种头痛与肿瘤占位效应导致颅内压升高有关,可能伴随头部沉重感。建议患者避免过度劳累,保持充足休息,若头痛频繁发作应及时进行影像学检查。
颅内压增高会刺激呕吐中枢,引发突发性喷射状呕吐,尤其多见于晨起空腹时。这种症状常与头痛伴随出现,与消化系统疾病引起的呕吐不同。患者应注意保持电解质平衡,少量多次饮水,必要时需进行降颅压治疗。
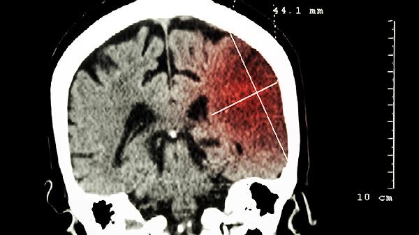
肿瘤压迫视神经或视交叉可能导致视力下降、视野缺损或视物模糊。部分患者会感觉眼前有闪光或黑影,这种视觉异常通常呈进行性加重。定期眼科检查和头颅影像学筛查有助于早期发现病变。

脑瘤刺激大脑皮层神经元异常放电可引起局部或全身性抽搐,多见于额叶或颞叶肿瘤。发作时可能伴随意识丧失或口吐白沫,需与原发性癫痫鉴别。患者应避免强光刺激和情绪激动,在医生指导下使用抗癫痫药物如左乙拉西坦片、丙戊酸钠缓释片或奥卡西平片。
运动功能区受肿瘤压迫时,会出现单侧肢体麻木或进行性肌力下降,常从手指精细动作障碍开始发展。这种症状与脑组织水肿或神经传导通路受损有关,可能伴随行走不稳。建议进行神经功能评估和康复训练,改善运动功能。

脑瘤患者日常应保持规律作息和均衡饮食,适当补充富含优质蛋白和维生素的食物如鱼类、蛋类及新鲜蔬菜水果。避免剧烈运动和头部外伤,定期进行神经系统检查与影像学随访。若出现进行性加重的神经功能缺损症状,需及时就医明确诊断并制定个体化治疗方案,早期干预有助于改善预后。