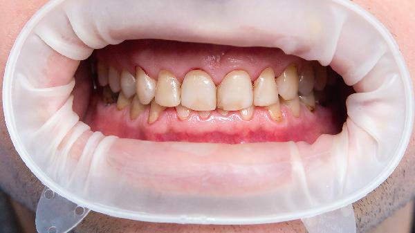
后槽牙牙龈有个洞可能与牙龈炎、牙周炎、龋齿、根尖周炎或牙龈萎缩有关。建议及时就医检查,明确病因后针对性治疗。

牙龈炎是牙龈组织的炎症性疾病,通常由牙菌斑堆积引起。牙龈炎可能导致牙龈红肿、出血,严重时会出现牙龈局部溃烂形成凹陷。治疗牙龈炎需通过超声波洁治清除牙结石,配合使用复方氯己定含漱液、西吡氯铵含片等药物控制感染。日常需加强巴氏刷牙法清洁,使用牙线辅助清理牙缝。
牙周炎是累及牙周支持组织的慢性炎症,可能表现为牙龈退缩形成牙周袋。牙周炎常伴随牙齿松动、口臭等症状。治疗需进行龈下刮治术,必要时使用盐酸米诺环素软膏局部给药。重度牙周炎可能需进行牙龈翻瓣手术。患者应每3-6个月进行专业牙周维护。
邻面龋或根面龋可能破坏牙体组织,导致食物嵌塞压迫牙龈形成凹陷。龋齿引起的牙龈损伤常伴有冷热刺激痛。治疗需去除腐质后充填修复,深龋需使用氢氧化钙垫底。可配合氟化钠甘油糊剂预防继发龋。建议使用含氟牙膏并定期涂氟保护。

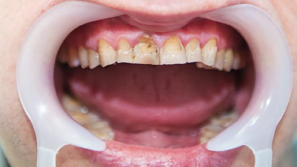
慢性根尖周炎可能形成牙龈瘘管,表现为牙龈局部凹陷或窦道。患牙多有叩痛史,X线片显示根尖阴影。治疗需进行根管治疗,必要时配合使用甲硝唑芬布芬胶囊控制感染。根尖病变较大者需行根尖切除术。治疗后应避免用患牙咀嚼硬物。
机械性创伤或生理性退缩可能导致牙龈组织缺损。牙龈萎缩会使牙根暴露,形成视觉上的凹陷。轻度萎缩可使用脱敏牙膏缓解症状,中重度萎缩需进行游离龈移植术。日常应改用软毛牙刷,避免横向刷牙损伤牙龈。

发现牙龈凹陷应避免自行挑刺或使用偏方。建议每日早晚采用巴氏刷牙法清洁口腔,饭后使用牙线或冲牙器清理食物残渣。限制高糖饮食摄入,每半年进行专业口腔检查。出现持续出血、化脓或疼痛加剧时须立即就诊,避免感染扩散引发颌骨骨髓炎等严重并发症。