胸椎黄韧带增厚是否需要手术取决于病情严重程度和症状表现。若出现脊髓压迫症状如行走不稳、肢体麻木无力等,通常建议手术;若无明显神经症状,可优先保守治疗。胸椎黄韧带增厚可能与慢性劳损、退行性变等因素有关。

胸椎黄韧带增厚未引起明显神经压迫时,多数可通过保守治疗缓解症状。患者可能出现局部僵硬、轻微疼痛,尤其在久坐或劳累后加重。此时建议避免长时间固定姿势,适当进行核心肌群锻炼,如桥式运动、猫牛式伸展,有助于减轻韧带负担。物理治疗如超短波、红外线照射可改善局部血液循环。若疼痛明显,可遵医嘱使用塞来昔布胶囊、洛索洛芬钠片等非甾体抗炎药,或甲钴胺片营养神经。定期复查影像学评估韧带变化至关重要。

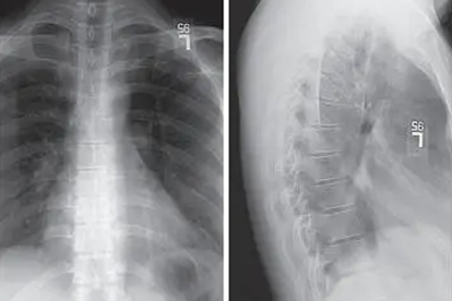
当胸椎黄韧带增厚导致脊髓或神经根严重受压时,手术是必要选择。典型症状包括进行性下肢无力、踩棉花感、大小便功能障碍等。影像学检查若显示椎管狭窄率超过50%,或动态位MRI证实韧带肥厚造成脊髓动态受压,需考虑椎板切除减压术、黄韧带切除术等。术后需配合康复训练预防粘连,如神经松动术、渐进性抗阻运动。合并骨质疏松者还需同步抗骨质疏松治疗,如阿仑膦酸钠维D3片、碳酸钙D3颗粒,以降低邻近节段退变风险。

胸椎黄韧带增厚患者无论是否手术,均需避免提重物、突然扭转脊柱等动作。饮食应保证优质蛋白和钙质摄入,如牛奶、鱼肉、西蓝花,有助于韧带修复。睡眠时选择中等硬度床垫,侧卧可在双腿间夹枕保持脊柱中立位。若保守治疗3-6个月无效或症状进展,需及时复查调整方案。术后患者应遵医嘱佩戴支具,逐步恢复日常生活活动。