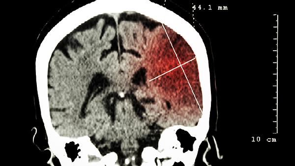
脑瘤初期CT通常能发现,但检出率与肿瘤大小、位置及类型有关。脑瘤初期可能表现为脑组织密度异常、占位效应或钙化等影像学特征,常见类型包括胶质瘤、脑膜瘤、垂体瘤等。建议结合临床症状及进一步检查明确诊断。

CT检查对直径超过5毫米的脑瘤具有较高检出率,尤其是伴有出血或钙化的肿瘤。高密度病灶如脑膜瘤在平扫CT中较易识别,低密度病灶如部分胶质瘤需增强扫描提高检出率。脑干、小脑等后颅窝区域因骨骼伪影干扰可能影响早期病灶显示。对于微小的垂体瘤或听神经瘤,MRI检查敏感性更高。

当肿瘤体积过小或密度与正常脑组织相近时,初期CT可能出现假阴性结果。等密度胶质瘤、弥漫性生长的少突胶质细胞瘤在平扫CT中易漏诊。部分囊性病变或血管性病变可能被误判为肿瘤。临床高度怀疑脑瘤但CT未见异常时,应进行MRI检查或定期随访。

出现持续头痛、视力变化、肢体无力等神经系统症状时,应及时进行影像学检查。除CT外,MRI可提供更清晰的软组织对比度,PET-CT有助于鉴别肿瘤性质。确诊需结合病理活检,治疗方案根据肿瘤类型和分期制定。日常需避免头部外伤,保持规律作息,出现异常症状尽早就医。