鼻咽癌放疗后可能会损伤脑组织,但具体是否发生与放疗剂量、照射范围以及个体差异有关。放疗是鼻咽癌的主要治疗手段之一,其目的是杀灭癌细胞,但在此过程中可能对周围正常组织造成影响。

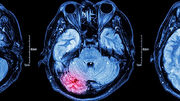
放疗对脑组织的损伤通常与照射野设计密切相关。当肿瘤位置靠近颅底或已侵犯颅内时,放疗计划需覆盖这些区域,可能使部分脑组织受到辐射。常见的损伤包括放射性脑水肿,表现为头痛、恶心或认知功能下降。放射性脑坏死是较严重的并发症,多发生在放疗后数月到数年,可能出现记忆力减退、肢体无力等症状。现代精准放疗技术如调强放疗能显著降低脑组织受量,但完全避免风险仍有难度。

少数情况下,放疗可能诱发脑血管病变或垂体功能低下。脑血管损伤多见于放疗后长期生存者,与血管内皮细胞受辐射后纤维化有关。垂体功能异常则因垂体腺对辐射敏感,可能导致激素分泌不足。儿童患者接受放疗后更易出现脑组织发育异常,需严格评估放疗必要性。

放疗期间及结束后应定期进行头颅核磁共振检查,监测脑组织变化。出现头晕、呕吐或性格改变等症状时需及时就诊。日常注意保持充足睡眠,避免头部剧烈活动,可适当补充维生素E等抗氧化剂。建议在放疗前与肿瘤科医生充分沟通风险,制定个体化防护方案。