CT一般能查出脑瘤,但检出率与肿瘤类型、大小及位置有关。脑瘤通常分为原发性与转移性两类,CT对出血性肿瘤及钙化灶敏感,但对早期微小肿瘤或低密度病灶可能漏诊。

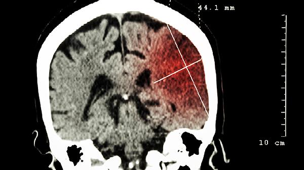
CT通过X线断层扫描显示脑部结构异常,对直径超过5毫米的肿瘤通常可识别。高密度病灶如脑膜瘤、胶质母细胞瘤因与正常脑组织对比明显,检出率较高。伴有出血或钙化的肿瘤在CT图像上呈特征性高信号,诊断准确性提升。对于疑似病例,CT增强扫描可进一步观察血供情况,辅助判断肿瘤性质。

部分低密度肿瘤如星形细胞瘤早期可能仅表现为轻微脑水肿,CT平扫易漏诊。位于颅底或脑干的小型肿瘤因骨骼伪影干扰,检出率降低。对于这类情况,MRI因其多参数成像优势成为更精准的检查手段。CT对软组织结构分辨率有限,难以区分肿瘤与周围水肿带,可能影响大小测量的精确性。

若出现持续头痛、呕吐或神经功能障碍等症状,建议结合MRI与CT互补检查。日常需避免头部外伤,控制高血压等脑血管病危险因素。确诊脑瘤后应遵医嘱定期复查,监测肿瘤变化情况。