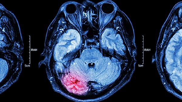
甲状腺癌脑转移的前兆可能包括头痛、恶心呕吐、肢体无力、视力改变、癫痫发作等症状。甲状腺癌脑转移通常由癌细胞通过血液或淋巴系统扩散至脑部引起,可能伴随颅内压增高、神经功能缺损等表现。建议患者及时就医,通过影像学检查明确诊断,并接受针对性治疗。

头痛是甲状腺癌脑转移的常见早期症状,多表现为持续性钝痛或胀痛,晨起时加重,可能伴随恶心呕吐。头痛可能与肿瘤占位效应导致颅内压增高有关。患者需注意避免剧烈运动,保持充足休息。医生可能建议使用甘露醇注射液降低颅内压,或开具布洛芬缓释胶囊缓解疼痛,严重时需考虑放疗或手术切除转移灶。
恶心呕吐常与头痛同时出现,多呈喷射性呕吐,与颅内压增高刺激呕吐中枢有关。患者应保持半卧位,避免突然起身。医生可能使用甲氧氯普胺片止吐,配合地塞米松磷酸钠注射液减轻脑水肿。若呕吐频繁导致脱水,需静脉补液维持水电解质平衡。
肢体无力多表现为单侧上肢或下肢活动障碍,与转移瘤压迫运动功能区相关。患者可能出现持物不稳、步态蹒跚等症状。康复训练有助于改善功能,医生可能推荐胞磷胆碱钠胶囊营养神经,严重时需手术解除压迫或进行靶向治疗。

视力改变包括视物模糊、视野缺损或复视,与视神经受压或颅内压增高有关。患者应避免用眼疲劳,定期检查视力。医生可能采用甘露醇联合呋塞米片降低眼压,若肿瘤压迫视交叉,需考虑放疗或神经外科干预。
癫痫发作多为局灶性,表现为肢体抽搐或意识丧失,与肿瘤异常放电刺激脑组织相关。发作时需防止咬伤和跌倒,医生常开具丙戊酸钠缓释片控制发作,严重病例需联合左乙拉西坦片治疗,并评估手术或放疗可行性。

甲状腺癌脑转移患者需保持规律作息,避免情绪波动和过度劳累。饮食以高蛋白、高维生素食物为主,如鸡蛋、鱼肉、西蓝花等,适量补充核桃、深海鱼等富含不饱和脂肪酸的食物。定期复查头部影像学,监测病情变化。若出现症状加重或新发异常,应立即就诊。家属应协助记录症状发作频率和持续时间,配合医生调整治疗方案。心理疏导有助于缓解焦虑情绪,必要时可寻求专业心理咨询。