胃溃疡发展为癌症前期可能出现上腹隐痛、食欲减退、体重下降、呕血黑便、贫血乏力等症状。胃溃疡癌变通常与幽门螺杆菌感染、长期胃黏膜损伤、遗传因素、不良饮食习惯、胃息肉恶变等因素相关。

持续性剑突下钝痛或灼痛是常见早期表现,疼痛规律改变如餐后疼痛加重需警惕。胃溃疡癌变时疼痛可能失去原有节律性,与胃酸分泌异常及肿瘤浸润神经有关。建议及时进行胃镜及病理检查。
肿瘤生长导致胃容量减少或分泌功能紊乱,患者可出现早饱感、厌恶肉类等表现。伴随胃蛋白酶分泌减少,消化功能下降可能进一步加重营养不良,需通过少食多餐补充蛋白质和维生素。
半年内体重减轻超过原体重10%需高度重视。癌变组织消耗能量、消化吸收障碍及进食减少共同导致消瘦,可能伴随血清白蛋白水平降低。建议记录每日体重变化并监测营养指标。

溃疡面血管被肿瘤侵蚀可引发呕血或柏油样便,出血量较大时可能出现心悸、冷汗等休克前兆。胃镜检查可见溃疡边缘不规则隆起,病理活检可发现异型增生细胞。急性出血需立即禁食并就医。
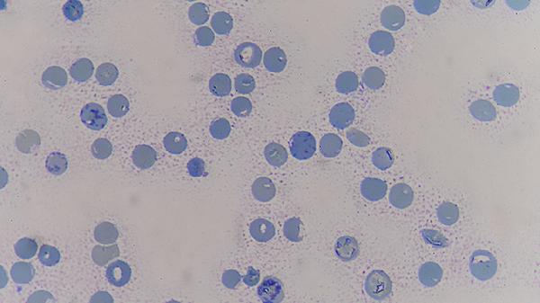
长期慢性失血导致缺铁性贫血,表现为睑结膜苍白、活动后气促。肿瘤释放的炎症因子也会引起癌性贫血,血红蛋白多低于90g/L。需检测铁代谢指标,必要时静脉补铁或输血治疗。

胃溃疡患者应每年复查胃镜,戒烟限酒,避免腌制、烧烤等含亚硝酸盐食物。日常选择易消化的鱼肉、蒸蛋等优质蛋白,搭配南瓜、山药等保护胃黏膜的食材。适度进行八段锦、散步等低强度运动,保持规律作息。出现症状持续加重时需完善肿瘤标志物、增强CT等检查,早期发现癌变倾向可通过内镜下黏膜剥离术干预。