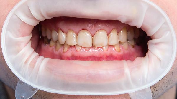
早上牙龈容易出血可能让很多人感到困惑,其实这通常与口腔卫生不佳、饮食不当以及一些口腔疾病如牙龈炎和牙周炎有关。为了避免这种情况,保持良好的口腔卫生习惯至关重要,必要时还需及时就医。
1、口腔卫生不佳

如果晚上未能彻底清洁口腔,食物残渣容易在牙齿缝隙中积聚。经过一夜,细菌在口腔内大量繁殖,刺激牙龈黏膜,导致局部血管扩张和充血,进而引发出血。建议每天早晚刷牙,并在饭后漱口,以保持口腔的清洁和健康。
2、饮食不当
早上进食坚硬食物如坚果或猪骨,可能对牙齿和牙龈造成损伤,导致出血。为了保护牙龈,建议选择较为柔软的食物,避免对口腔组织的过度刺激。
3、牙龈炎
不正确的刷牙方式或食物嵌塞会引发牙龈炎,表现为牙龈出血、肿胀和疼痛。早上刷牙时,炎症部位可能受到刺激,导致出血。可以在医生的指导下使用复方氯己定含漱液或过氧化氢溶液进行治疗,帮助缓解症状。
4、牙周炎
牙菌斑和食物嵌塞是牙周炎的主要原因,通常表现为牙齿松动、牙周溢脓和牙龈出血。如果早上出现牙周炎症状,可能会导致出血。建议在医生指导下进行洗牙,去除牙石和菌斑,必要时可进行龈上洁治术或龈下刮治术,以维护口腔健康。

保持口腔健康不仅仅是为了避免早上牙龈出血,它更是整体健康的重要组成部分。通过良好的口腔卫生习惯和定期的口腔检查,我们可以更好地预防和控制这些问题。如果发现牙龈出血频繁且伴有其他症状,建议尽快就医,以便获得专业的诊断和治疗。