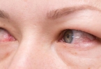
鼻病毒感染可能会引起眼睛起血丝,通常与病毒直接侵袭或继发炎症反应有关。鼻病毒感染主要累及呼吸道,但可能通过鼻泪管扩散或免疫反应间接导致结膜充血。

鼻病毒感染时,病毒可通过鼻泪管从鼻腔蔓延至眼部,刺激结膜血管扩张,表现为眼睛发红、血丝增多。这种情况常伴随打喷嚏、鼻塞等上呼吸道症状,眼部不适多为轻度,可通过冷敷缓解。若合并细菌感染,可能加重充血,需使用人工泪液如玻璃酸钠滴眼液保持湿润,避免揉眼。

少数情况下,鼻病毒可能引发急性病毒性结膜炎,导致明显眼红、分泌物增多。此时需就医排除腺病毒等病原体感染,医生可能开具更昔洛韦滴眼液等抗病毒药物。免疫功能低下者或儿童可能出现较重症状,家长需注意观察是否出现畏光、视力模糊等警示体征。

鼻病毒感染期间应保持充足休息,多饮水帮助代谢病毒毒素。避免共用毛巾防止交叉感染,室内保持通风减少病毒浓度。若血丝持续3天不缓解或伴随脓性分泌物,建议到眼科排查细菌性结膜炎等并发症。日常可补充维生素C增强黏膜抵抗力,但眼部症状加重时需及时医疗干预。