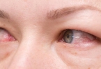
罗红霉素一般是指罗红霉素滴眼液。通常情况下,如果是细菌性结膜炎,罗红霉素滴眼液可能有一定的效果;如果是病毒性结膜炎,则罗红霉素滴眼液的效果不佳。
1.可能有用:如果患者是由于细菌感染引起的结膜炎,并且出现了眼睛发红、疼痛等症状,在医生的指导下使用罗红霉素滴眼液进行治疗,能够起到抗炎的作用,从而缓解症状。对于细菌性结膜炎是有一定作用的。

2.没有用:如果是病毒感染引起的结膜炎,可能会出现眼睛瘙痒、分泌物增多等症状,此时单纯使用罗红霉素滴眼液并不能够达到治疗的目的,需要遵医嘱配合使用阿昔洛韦滴眼液、更昔洛韦滴眼液等药物进行治疗。
在日常生活中,建议患者要注意个人卫生,勤洗手,避免用手揉搓眼睛,以免加重病情。同时还要注意合理饮食,尽量以清淡易消化的食物为主,可以多吃新鲜的水果和蔬菜,比如苹果、香蕉、菠菜等,补充身体所需要的维生素,有利于身体健康。若期间出现明显不适,还需及时就医诊治,以免延误病情。