摔到后脑勺后判断有无内伤需观察意识状态、头痛程度及伴随症状。主要判断依据有意识模糊、持续剧烈头痛、反复呕吐、瞳孔不等大、肢体活动障碍等。若出现上述任一症状需立即就医。

头部外伤后24小时内是观察关键期。轻微撞击可能出现短暂头晕或局部肿痛,但意识清醒且症状逐渐缓解通常提示无严重损伤。部分患者会经历短暂记忆缺失,但对当前时间地点人物定向力正常,这类情况建议静卧休息并密切监测。若出现嗜睡但能被唤醒,需警惕迟发性颅内出血可能,即使初期影像学检查无异常也应持续观察。

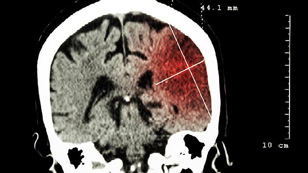
进展性加重的头痛伴喷射状呕吐提示颅内压增高,常见于硬膜外血肿。单侧瞳孔扩大对光反射迟钝可能预示脑疝形成。肢体无力或抽搐发作多与对冲伤引起的脑实质损伤相关。婴幼儿表现为异常哭闹、拒食或前囟膨隆时,家长须立即送医。老年人服用抗凝药物者即使轻微外伤也可能导致慢性硬膜下血肿,症状往往在1-3周后显现。

建议伤后保持安静休息,避免剧烈活动。24小时内每2小时评估意识状态,记录症状变化。禁止服用阿司匹林等影响凝血药物。饮食选择易消化食物,控制饮水量。出现新发症状或原有症状加重时,应立即前往急诊科进行头颅CT检查。恢复期出现注意力不集中、睡眠障碍等脑震荡后综合征表现时,需神经科随访。