宝宝摔到后脑勺可通过观察症状、冷敷处理、就医检查、药物治疗、手术干预等方式治疗。宝宝摔到后脑勺可能与外伤撞击、颅内出血、颅骨骨折、脑震荡、硬膜下血肿等因素有关。

家长需立即检查宝宝是否出现呕吐、嗜睡、哭闹不止或意识模糊等症状。若仅有轻微红肿且无异常行为,可暂时居家观察24小时。期间避免剧烈摇晃宝宝,保持环境安静。记录宝宝进食、睡眠及反应能力的变化,出现异常需及时就医。
若局部出现肿胀,可用干净毛巾包裹冰袋冷敷10分钟,间隔20分钟重复进行。冷敷能收缩血管减轻血肿,但禁止直接接触皮肤或按压伤处。家长需观察冷敷后是否出现皮肤苍白等异常,48小时后若肿胀未消退应就诊。
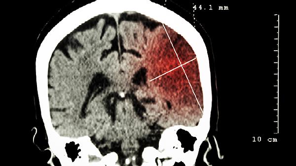
当宝宝出现持续呕吐、瞳孔不等大或抽搐时,需立即进行CT或核磁共振检查。影像学可明确是否存在颅骨线性骨折、蛛网膜下腔出血等问题。急诊科医生会评估格拉斯哥昏迷量表分数,必要时收治入院监测生命体征。

对于轻度脑震荡可遵医嘱使用布洛芬混悬液缓解头痛,甘露醇注射液降低颅内压,维生素K1注射液预防凝血障碍。硬膜下血肿可能需注射人血白蛋白维持渗透压,禁止自行使用止血或镇静类药物。
严重颅骨凹陷性骨折需行颅骨复位术,急性硬膜外血肿超过30毫升时实施开颅血肿清除术。术后需在PICU监测72小时,通过腰椎穿刺释放血性脑脊液,并使用头孢曲松钠预防颅内感染。

家长应确保婴儿床有护栏,玩耍区域铺设软垫,避免将宝宝放在高处无人看管。恢复期减少声光刺激,喂养时抬高头部15度。定期复查头颅B超监测血肿吸收情况,6个月内避免剧烈运动。若发现宝宝运动协调能力下降或语言发育迟缓,需进行神经康复训练。