胸痛可挂心血管内科、呼吸内科、急诊科、胸外科或消化内科门诊。胸痛可能与心绞痛、肺炎、气胸、胃食管反流等因素有关,需根据具体症状选择科室。

突发性压榨样胸痛伴胸闷、冷汗时,优先考虑心血管内科。心绞痛或心肌梗死常表现为胸骨后疼痛,可能放射至肩背或下颌。心电图、心肌酶检测可辅助诊断,医生可能开具硝酸甘油片、阿司匹林肠溶片等药物缓解症状,严重者需冠状动脉造影检查。
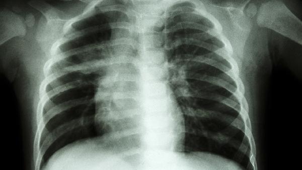
咳嗽发热伴随针刺样胸痛需就诊呼吸内科。肺炎、胸膜炎等呼吸系统疾病可能引发胸痛,CT检查可明确肺部病变。医生可能根据病原体类型使用阿莫西林克拉维酸钾片、盐酸左氧氟沙星胶囊等抗生素,合并胸腔积液时需穿刺引流。
持续剧烈胸痛伴濒死感应立即前往急诊科。主动脉夹层、肺栓塞等急症需紧急处理,通过增强CT或D-二聚体检测确诊。急诊科可快速启动溶栓或手术干预,避免延误抢救时机。

外伤后局部胸痛或气胸复发建议胸外科评估。肋骨骨折、自发性气胸等需影像学检查,少量气胸可观察,大量气胸需闭式引流术。胸外科还处理纵隔肿瘤等需手术的胸部疾病。
进食后加重的烧灼样胸痛需消化内科疾病排查。胃食管反流、食管裂孔疝可能模仿心脏病症状,胃镜检查可鉴别。医生可能建议服用奥美拉唑肠溶胶囊、铝碳酸镁咀嚼片等抑酸护胃药物。

胸痛时避免剧烈活动,记录疼痛性质与持续时间。心血管高危人群应定期监测血压血脂,戒烟限酒。长期伏案工作者需调整姿势预防肋软骨炎,突发无法缓解的胸痛须立即就医。日常可练习腹式呼吸减轻功能性胸痛,但所有不明原因胸痛均需专业医疗评估。