胸痛、胸闷、气短可能与心血管疾病、呼吸系统疾病、心理因素、消化系统疾病或肌肉骨骼问题有关。常见原因包括冠心病、肺炎、焦虑症、胃食管反流、肋间神经痛等。建议及时就医明确诊断,避免延误治疗。

胸痛伴胸闷气短需优先排查心血管疾病。冠心病患者因冠状动脉狭窄导致心肌缺血,可能表现为压榨性胸痛,活动后加重,休息或含服硝酸甘油片可缓解。急性心肌梗死时疼痛持续超过15分钟,伴有冷汗、濒死感,需立即拨打急救电话。其他如心肌炎、心包炎也可能引起类似症状,可通过心电图、心肌酶谱、心脏超声等检查确诊。
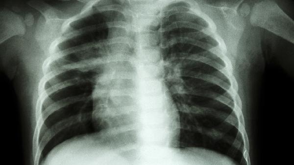
肺炎、胸膜炎、气胸等呼吸系统疾病常引发胸痛与呼吸困难。肺炎多伴有发热、咳嗽、咳痰,听诊可闻及湿啰音,胸部CT可见肺实变影。自发性气胸多见于瘦高体型青年,突发尖锐胸痛伴呼吸受限,X线显示肺组织压缩。慢性阻塞性肺疾病急性加重期也会出现胸闷气短,肺功能检查有助于诊断。
焦虑症、惊恐发作可引起功能性胸痛,表现为胸部紧束感或针刺样疼痛,常伴有过度换气、手足麻木。症状多在情绪激动时出现,体格检查无器质性异常,心理评估量表可辅助诊断。此类患者需进行呼吸训练,必要时遵医嘱使用帕罗西汀片等抗焦虑药物。

胃食管反流病导致胸骨后烧灼痛,平卧时加重,服用奥美拉唑肠溶胶囊可缓解。食管痉挛表现为间歇性剧烈胸痛,胃镜检查可见食管蠕动异常。胆囊炎引起的疼痛可放射至右肩,腹部超声显示胆囊壁增厚。这类疾病需调整饮食,避免饱餐后立即平卧。
肋软骨炎好发于第2-4肋软骨交界处,局部压痛明显,活动上肢时疼痛加剧。带状疱疹早期可出现沿神经分布的灼痛,数日后出现疱疹。胸椎小关节紊乱可通过手法复位改善,急性期可短期使用双氯芬酸钠缓释片镇痛。

出现胸痛胸闷症状时应立即停止活动,保持安静体位。心血管高危人群需随身携带硝酸甘油片,呼吸系统疾病患者注意监测血氧饱和度。长期焦虑者建议进行认知行为治疗,消化系统疾病患者需规律进食、避免刺激性食物。所有患者均应定期复查,严格遵医嘱用药,不可自行调整药物剂量。若症状持续不缓解或加重,须立即前往急诊科就诊。