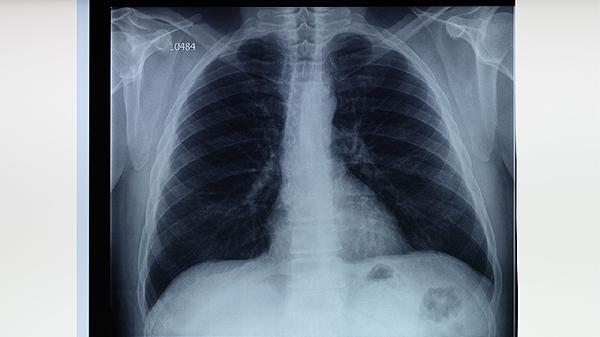
肺结核病人的胸片结果通常表现为肺部阴影、空洞、钙化灶或淋巴结肿大。这些异常影像提示肺部感染结核分枝杆菌,需要结合临床症状和实验室检查确诊。治疗方法包括抗结核药物治疗、手术治疗和支持性疗法。

1、肺结核的胸片特征。肺结核的胸片结果因病情不同呈现多样化。早期表现为局部浸润性阴影,多位于肺上叶或下叶背段。随着病情进展,可能出现空洞,提示肺组织坏死。慢性期可见钙化灶,提示病灶愈合。淋巴结肿大在儿童和青少年中较为常见。胸片结果需与临床症状结合分析,如长期低热、咳嗽、咳痰、盗汗等。
2、抗结核药物治疗。肺结核的核心治疗方法是抗结核药物联合使用。常用药物包括异烟肼、利福平、吡嗪酰胺和乙胺丁醇。治疗分为两个阶段:强化期通常为2个月,目的是快速杀灭活跃的结核菌;巩固期通常为4-7个月,旨在清除残留的结核菌,降低复发风险。治疗过程中需要注意药物副作用,如肝损害、视力下降等。

3、手术治疗。对于药物治疗无效或出现严重并发症的病例,可考虑手术治疗。手术方式包括肺叶切除术、全肺切除术和空洞引流术。肺叶切除术适用于局限于一个肺叶的病灶;全肺切除术适用于病变累及全肺的情况;空洞引流术用于排出胸腔积脓。手术前后需配合抗结核药物治疗,降低术后复发风险。
4、支持性疗法。肺结核患者需要加强营养支持,特别是蛋白质和维生素的摄入。富含优质蛋白的食物包括鸡蛋、鱼、瘦肉;富含维生素的食物包括新鲜蔬菜和水果。保持良好的生活习惯,如规律作息、戒烟限酒、适度运动等,有助于提高免疫力,促进康复。定期复查胸片和痰结核菌检查,监测治疗效果。

肺结核是一种慢性传染病,及时诊断和规范治疗是关键。通过抗结核药物治疗、手术治疗和支持性疗法的综合应用,大多数患者可以治愈。治疗过程中需要坚持全程、规律用药,避免中断治疗导致耐药性产生。对于高危人群,如密切接触者、免疫抑制患者,建议定期进行结核筛查,早期发现,早期治疗。胸片作为诊断肺结核的重要工具,结合临床症状和实验室检查,能够有效评估病情和指导治疗。