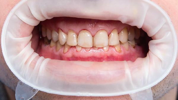
假牙牙龈黑可能与口腔卫生不良、假牙材料影响、牙龈炎、牙周炎、金属离子沉积等原因有关。假牙佩戴者需要关注口腔健康,及时处理异常情况。

假牙与牙龈接触的边缘容易堆积食物残渣和牙菌斑,清洁不彻底会导致色素沉着或细菌滋生,引起牙龈边缘发黑。这种情况通常伴随口腔异味。日常护理应做到每次进食后及时漱口,每天使用软毛牙刷和假牙清洁剂彻底清洗假牙,避免使用硬毛牙刷损伤假牙表面。定期使用牙线清洁真牙与假牙邻接面,减少菌斑滞留。
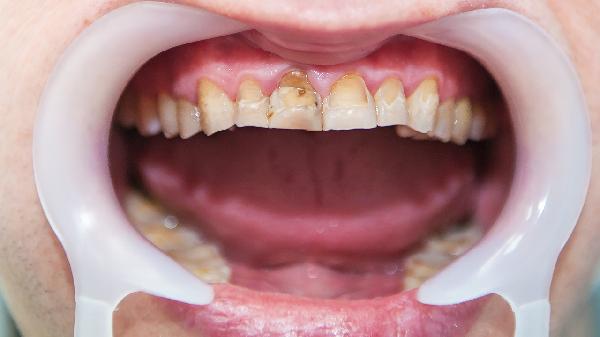
金属烤瓷牙的金属基底可能透过瓷层显露灰黑色,尤其在牙龈萎缩后更为明显。非贵金属假牙长期使用后可能释放金属离子,导致邻近牙龈组织染色。选择生物相容性更好的全瓷牙或贵金属假牙可降低此类风险。若已出现染色,需由口腔医生评估是否需要更换假牙材料,并检查牙龈健康状况。
假牙边缘不密合可能刺激牙龈,引发牙龈炎性反应。慢性炎症会导致牙龈充血肿胀,局部血运障碍时可能显现暗红色或紫黑色。患者常伴有刷牙出血、牙龈胀痛等症状。治疗需由医生调整假牙边缘密合度,配合使用氯己定含漱液控制炎症,必要时辅以阿莫西林胶囊等药物抗感染。

长期不当的假牙佩戴可能加速牙周组织破坏,形成牙周袋并继发牙周炎。炎性分泌物与血液混合后,可使牙龈呈现暗黑色。多伴有牙齿松动、咀嚼无力等表现。需进行系统的牙周治疗,包括牙周刮治、局部用药如盐酸米诺环素软膏,严重者需牙周手术治疗。
镍铬合金等假牙材料中的金属离子会随时间缓慢释放,渗透到牙龈组织中形成硫化银等沉积物,表现为线状或片状灰黑色色素。这种沉积通常不可逆,但一般不影响健康。若影响美观或伴随过敏反应,可考虑更换为二氧化锆全瓷牙等惰性材料,同时使用抗过敏牙膏缓解不适。

假牙佩戴者应建立规律的口腔护理习惯,每日早晚用温水冲洗假牙并按摩牙龈,避免过硬过黏食物损伤假牙。每半年至一年进行口腔检查,由专业医生评估假牙适配度和牙龈健康状况。出现持续性牙龈发黑、疼痛或假牙松动时须及时就诊,切勿自行用药或调整假牙。合理补充维生素C有助于增强牙龈抵抗力,保持饮食均衡对维护口腔黏膜健康尤为重要。