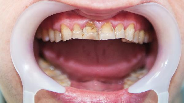
牙龈吃硬东西就疼痛可能与牙龈炎、牙周炎、牙齿隐裂、龋齿、牙齿敏感等原因有关,可通过口腔检查、药物治疗、填充修复等方式改善。

牙龈炎是牙龈组织发炎的常见疾病,通常由牙菌斑堆积刺激牙龈引起。吃硬物时机械刺激会加重红肿牙龈的疼痛感,可能伴随刷牙出血。需通过超声波洁治清除牙结石,配合复方氯己定含漱液消炎,日常使用软毛牙刷减少摩擦。
牙周炎进展期会出现牙龈萎缩和牙槽骨吸收,导致牙根暴露。咀嚼硬物时直接刺激暴露的牙骨质引发锐痛,常伴有牙齿松动。需进行龈下刮治控制感染,必要时用甲硝唑片联合阿莫西林胶囊抗炎,避免用患侧咀嚼。
牙齿表面微小裂纹在咬硬物时会产生劈裂力,刺激牙髓神经出现短暂锐痛,冷热刺激可能加重症状。需通过咬合检查确诊,浅裂可用复合树脂填充,深裂需做全冠修复保护。避免用患牙啃咬坚果等硬物。

龋洞达牙本质深层时,食物嵌塞或咀嚼压力会刺激牙髓神经引发疼痛,可能伴有食物塞牙。中深度龋齿需清除腐质后采用玻璃离子水门汀填充,严重者需根管治疗。进食后及时漱口清除残渣。
牙龈退缩或釉质磨损导致牙本质小管开放,冷热或机械刺激引发短暂刺痛。可使用含硝酸钾的舒适达抗敏感牙膏封闭小管,严重者需医生涂布氟保护漆。避免过度横向刷牙及酸性饮食。

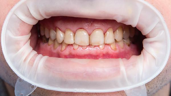
建议每日使用巴氏刷牙法清洁牙齿,配合牙线清理邻面菌斑。每半年进行口腔检查,发现龋齿或牙周问题及时处理。避免用牙齿开瓶盖或咬硬物等行为,选择含氟牙膏增强牙釉质抗酸能力。若疼痛持续或加重,需口腔科排查牙髓炎等疾病。