病毒性脑炎颅内感染可能由单纯疱疹病毒、肠道病毒、虫媒病毒、麻疹病毒及EB病毒等病原体引起,主要通过呼吸道传播、消化道感染、蚊虫叮咬、直接接触及母婴垂直传播等途径感染。

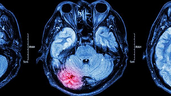
单纯疱疹病毒1型是成人病毒性脑炎最常见病原体,病毒潜伏于三叉神经节,当免疫力下降时沿神经轴突侵入脑实质。典型表现为颞叶及额叶局灶性损害,脑脊液PCR检测可确诊。临床需早期使用阿昔洛韦静脉治疗。
柯萨奇病毒、埃可病毒等肠道病毒通过粪-口途径传播,夏季高发。儿童多见无菌性脑膜炎表现,部分可进展为脑炎。特征为发热、头痛伴皮疹,多数预后良好但新生儿感染可能致命。
乙型脑炎病毒经蚊虫叮咬传播,主要累及丘脑、基底节等深部灰质。急性期出现高热、意识障碍及肌张力增高,恢复期可能遗留帕金森样症状。疫苗接种是最有效预防措施。

麻疹病毒感染后7-10年可能发生亚急性硬化性全脑炎,属于迟发性并发症。典型表现为进行性智力减退、肌阵挛和运动障碍,脑电图显示周期性复合波,目前尚无特效治疗方法。
EB病毒感染引起的传染性单核细胞增多症可并发脑膜脑炎,多见于青少年。特征为发热、咽峡炎伴淋巴细胞增多,中枢神经系统受累时出现共济失调或面神经麻痹,多数具有自限性。

预防病毒性脑炎需注意个人卫生防护,流行季节避免蚊虫叮咬,按时接种乙脑疫苗等计划免疫制剂。出现持续发热伴精神行为异常时需及时就医,急性期患者应卧床休息并保证充足营养摄入,恢复期可进行认知功能训练和肢体康复锻炼。免疫功能低下者需特别注意避免接触疱疹病毒感染者,新生儿母亲发生生殖器疱疹需采取剖宫产预防垂直传播。