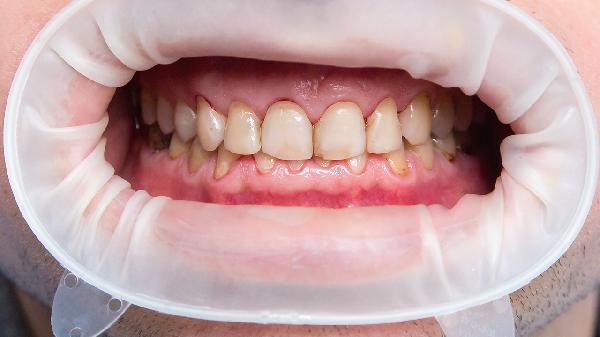
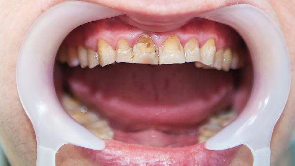
牙龈疼痛难忍可通过冷敷、药物镇痛、盐水漱口、避免刺激物及局部麻醉凝胶等方式快速缓解。牙龈疼痛通常由龋齿、牙周炎、智齿冠周炎、牙龈外伤或食物嵌塞等原因引起。

用冰袋或冷毛巾包裹后敷于疼痛侧脸颊,每次持续10-15分钟。低温能收缩血管减轻局部肿胀,对牙龈外伤或急性炎症引起的疼痛效果明显。注意避免冻伤皮肤,间隔30分钟重复进行。
布洛芬缓释胶囊、对乙酰氨基酚片或双氯芬酸钠肠溶片等非甾体抗炎药可缓解中重度疼痛。这些药物通过抑制前列腺素合成减轻炎症反应,适用于牙髓炎或牙周脓肿导致的疼痛。须注意胃肠不适者慎用。
将5克食盐溶解于200毫升温水中,每日漱口4-6次。高渗盐水能清洁口腔创面并减轻组织水肿,对食物嵌塞或轻度牙龈炎效果较好。漱口时需将液体重点作用于疼痛区域,保持30秒后吐出。

暂时禁食辛辣、过冷过热或坚硬食物,避免酒精及烟草刺激。这些物质可能加重牙龈毛细血管扩张,延长炎症期。建议选择室温流质饮食直至疼痛缓解。
利多卡因凝胶或苯佐卡因凝胶可直接涂抹于疼痛牙龈表面,通过阻断神经传导快速止痛,适用于智齿萌出或口腔溃疡引起的剧痛。使用前需清洁患处,每日不超过3次,防止黏膜损伤。

牙龈疼痛期间应保持口腔清洁,使用软毛牙刷轻柔刷牙,配合牙线清除邻面菌斑。若疼痛持续超过48小时或伴随面部肿胀、发热等症状,提示可能存在牙髓坏死或间隙感染,需立即就诊口腔科进行根管治疗或切开引流。日常建议每半年进行专业洁牙,控制牙菌斑堆积可有效预防牙龈问题复发。