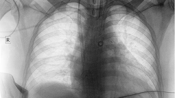
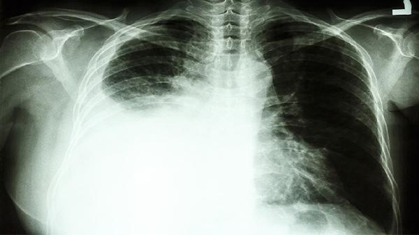
肺癌可能会引起头晕,通常与肿瘤压迫、脑转移或副肿瘤综合征等因素有关。肺癌患者出现头晕主要有肿瘤直接侵犯神经、贫血、低氧血症、电解质紊乱、药物副作用等原因。建议及时就医明确病因,遵医嘱进行针对性治疗。

肺癌若侵犯交感神经或迷走神经,可能导致血压波动或自主神经功能紊乱,引发头晕。这类患者常伴有霍纳综合征或声音嘶哑等症状。需通过影像学检查确认肿瘤位置,治疗以手术切除或放疗为主,药物可选用盐酸厄洛替尼片、吉非替尼片等靶向药物。
肺癌患者可能因慢性出血或骨髓抑制导致贫血,血红蛋白降低使脑部供氧不足。表现为面色苍白、乏力伴头晕。需完善血常规检查,轻度贫血可通过硫酸亚铁片、琥珀酸亚铁口服液等补铁药物纠正,严重者需输血治疗。
肺部肿瘤占位影响气体交换时,动脉血氧分压下降可致脑缺氧性头晕。患者多伴有呼吸困难、口唇发绀。可通过吸氧改善症状,同时使用注射用培美曲塞二钠、卡铂注射液等化疗药物控制肿瘤进展。

肺癌引发的恶心呕吐或抗利尿激素分泌异常综合征,可能导致低钠血症。血钠低于120mmol/L时会出现眩晕、嗜睡。需静脉补充高渗氯化钠注射液,并监测电解质水平,配合使用盐酸阿米洛利片调节水盐平衡。
部分化疗药物如顺铂注射液、长春新碱注射液具有神经毒性,可能损伤前庭神经导致头晕。通常伴有耳鸣或步态不稳。需调整用药方案,必要时使用甲磺酸倍他司汀片改善微循环。

肺癌患者出现头晕时应卧床休息避免跌倒,保持环境通风。饮食需增加瘦肉、动物肝脏等富含铁的食物,限制每日饮水量以防加重低钠血症。定期监测血常规、血气分析及电解质指标,若头晕持续或加重需立即复查胸部CT排除脑转移。治疗期间避免突然改变体位,起身时动作宜缓慢。