年轻人得脑溢血的原因主要有高血压、脑血管畸形、血液病、外伤、药物滥用等。脑溢血是指非外伤性脑实质内血管破裂引起的出血,起病急骤且危险性高,需及时就医干预。

长期未控制的高血压是年轻人脑溢血的首要原因。血压持续升高会导致脑内小动脉硬化,血管壁弹性下降,在情绪激动或剧烈活动时易发生破裂。典型表现为突发剧烈头痛伴呕吐,可能出现肢体偏瘫或意识障碍。确诊后需严格遵医嘱服用硝苯地平控释片、厄贝沙坦片等降压药物,同时限制钠盐摄入并定期监测血压。
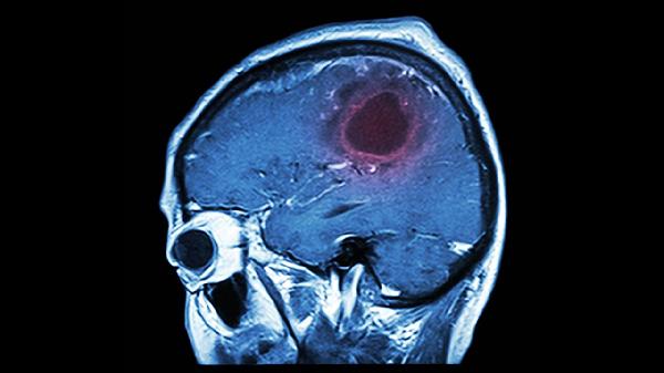
先天性脑血管发育异常如动静脉畸形、海绵状血管瘤等,血管结构缺陷易在血流冲击下破裂。常见于20-40岁人群,部分患者前期仅有轻微头痛或癫痫发作。通过脑血管造影可明确诊断,需根据病情选择介入栓塞术或显微外科手术切除病灶。
白血病、血友病、血小板减少性紫癜等疾病会导致凝血功能障碍。血液成分异常使血管破裂后难以止血,轻微外伤即可诱发脑出血。患者可能伴随皮肤瘀斑、鼻出血等症状。需针对原发病使用重组人凝血因子Ⅷ、氨甲环酸注射液等药物,必要时输注血小板。

头部受到撞击或穿透伤可直接损伤脑血管,常见于交通事故、运动伤害等情况。外伤性脑出血常合并颅骨骨折,可能出现意识模糊、瞳孔不等大等脑疝征兆。需紧急进行头颅CT检查,严重时需行开颅血肿清除术降低颅内压。
长期服用抗凝药如华法林钠片,或吸食可卡因等毒品会破坏血管完整性。抗凝药物过量使用可能导致自发性出血,毒品则会引起血管痉挛和血压骤升。此类患者需立即停用相关物质,并使用维生素K1注射液等拮抗剂纠正凝血异常。

预防年轻人脑溢血需定期体检筛查高血压和血管病变,避免头部外伤和剧烈情绪波动。保持低盐低脂饮食,控制体重在正常范围,戒烟限酒。出现突发剧烈头痛、呕吐或肢体无力时须立即就医,脑溢血抢救的黄金时间在发病后6小时内。康复期患者应在神经科医生指导下进行肢体功能训练和语言康复。