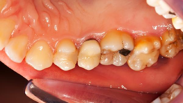
大牙松动疼痛可通过口腔清洁、调整饮食、药物治疗、牙周治疗、拔牙等方式治疗。大牙松动疼痛通常由牙周炎、龋齿、外伤、咬合创伤、骨质疏松等原因引起。

大牙松动疼痛可能与牙菌斑堆积有关,表现为牙龈红肿出血。每日使用巴氏刷牙法清洁牙齿,配合牙线清除邻面菌斑,必要时用复方氯己定含漱液抑制细菌。避免使用硬毛牙刷加重牙龈损伤。
大牙松动疼痛期间应避免咀嚼硬物,选择软烂食物如鸡蛋羹、南瓜粥等。减少摄入高糖食品防止龋齿恶化,适量补充维生素C促进牙龈修复。冷热刺激可能加重疼痛,建议食物保持常温。
细菌感染引起的松动疼痛可遵医嘱使用甲硝唑片、阿莫西林胶囊等抗生素。布洛芬缓释胶囊可缓解炎症疼痛,人工牛黄甲硝唑胶囊对厌氧菌感染有效。使用西帕依固龈液含漱可改善牙龈出血。

中重度牙周炎导致的松动需进行龈下刮治清除结石,配合盐酸米诺环素软膏局部给药。对于牙周袋较深的患牙可采用引导性组织再生术,必要时用牙周夹板固定松动牙齿。
三度松动的患牙或严重根尖周炎保守治疗无效时需拔除,术后使用复方氯己定含漱液预防感染。缺牙区可在3个月后选择种植牙或固定桥修复,避免长期缺牙导致邻牙倾斜。

大牙松动疼痛期间应避免用患侧咀嚼,戒烟限酒减少牙龈刺激。每日用温盐水漱口3次,定期口腔检查可早期发现病变。若伴随发热或面部肿胀需立即就医,提示可能存在颌面部间隙感染。长期缺牙可能导致咬合紊乱,建议及时进行修复治疗。