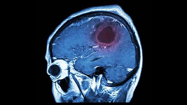
轻微的脑血栓一般不严重,但需要及时干预以防止病情进展。脑血栓的严重程度与血栓位置、大小及侧支循环建立情况有关,多数轻微脑血栓患者通过规范治疗可有效控制症状。

轻微脑血栓通常表现为短暂性肢体无力、言语含糊或头晕,症状多在24小时内缓解。这类情况多由动脉粥样硬化斑块脱落或血液高凝状态引起,通过抗血小板聚集治疗如阿司匹林肠溶片、氯吡格雷片等药物干预,配合控制高血压、糖尿病等基础疾病,多数患者预后良好。早期康复训练有助于改善神经功能缺损,降低后遗症概率。

若轻微脑血栓反复发作或伴随意识障碍、剧烈头痛,可能提示大血管狭窄或心源性栓塞等高风险因素。此类情况需进一步完善头颈部血管造影、心脏超声等检查,必要时需行血管内支架置入术或抗凝治疗。未及时处理的轻微脑血栓可能进展为完全性卒中,导致永久性偏瘫或认知功能障碍。

建议出现轻微脑血栓症状后立即就医,避免剧烈活动或自行服用活血药物。日常需保持低盐低脂饮食,规律监测血压血糖,戒烟限酒并适度进行有氧运动。定期复查血脂、凝血功能等指标,遵医嘱调整用药方案可显著降低复发风险。