一岁宝宝头皮血肿一般会在1至2周内自行消退,具体恢复时间取决于血肿的大小及严重程度。如果血肿较大或伴随其他症状,如呕吐、精神萎靡,应立即就医进行详细检查。以下从血肿的原因、可能的恢复过程和应对措施进行详细解答,以帮助家长更好地照顾宝宝。

1、头皮血肿的原因及恢复时间
头皮血肿是头部外伤后的常见情况,其成因主要是撞击导致头皮下方血管破裂,血液集中形成局部隆起。宝宝血肿的恢复时间通常与血肿的大小和自身吸收能力有关:
较小血肿:轻微撞击引起的小血肿通常无其他合并症,多在7-10天内自行吸收。
中等血肿:如果血肿较大但无严重症状,可能需要2周左右恢复。
严重血肿:当血肿区域较广或伴随头骨骨折、感染等情况,可能需更长时间并需医疗干预。
2、应对头皮血肿的护理方法
根据血肿的严重程度,您可以采取以下护理措施:
(1)冷敷
在宝宝受伤后的24小时内,可以在伤口处使用冷敷以减少肿胀。在使用冷敷袋或冰袋时,可用软布包裹冰块,以免直接接触宝宝皮肤导致冻伤。每次敷5-10分钟,每小时可重复一次。
(2)及时观察宝宝状态
观察宝宝是否出现情绪异常、行为变化、呕吐、嗜睡或意识模糊等症状。如果发现宝宝精神不佳,应尽快联系医生。
(3)适当热敷
在受伤后24小时至48小时后,可以逐步改为热敷,促进血液循环,加速血肿吸收。敷热的时间与冷敷类似,每次5-10分钟即可。
(4)避免过度活动
保持宝宝的活动量适中,避免磕碰到已经受伤的部位。可以给宝宝戴上合适的软质帽子,减少日常碰撞的风险。
(5)必要时用药或医疗介入
如果血肿伴随头痛或明显不适,医生可能会建议使用消肿的外用药物或消炎药(如布洛芬儿童剂型)。但家长应严格遵从医嘱,不可随意给宝宝服药。
3、血肿未吸收时的警示信号与处理方法
有些情况下,宝宝的血肿可能需要更长时间才会消失,甚至加重。这时您需要格外注意以下警示信号:
血肿持续增大或局部发热:可能提示感染,应尽快带宝宝就诊。
伴随呕吐、意识不清、肌肉抽搐:可能是颅内出血的危险信号,需紧急送医。
长时间未消退:如血肿超过3周仍明显存在,需就医排查是否存在头骨骨折或病理性血肿。
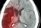
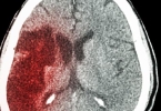
在医院,医生可能会要求进行头部的CT或MRI检查,评估内部情况。如果血肿吸收缓慢或有积液囊肿形成,可能需要进行穿刺或手术引流处理。
最后
一岁宝宝的头皮血肿恢复时间由多种因素决定,家长需要根据血肿的大小及宝宝的状态进行护理,并密切关注宝宝在恢复期间的表现。如果血肿持续不消或出现警示信号,请及时就医,以确保宝宝的健康和安全。