脑肿瘤的费用需要全身麻醉,加上几千元,术前血常规、血生化、凝血时间、头部CT、磁共振检查需要费用,脑瘤手术还有很多其他费用,有的需要耗材,总费用是5-6一万元。
但脑肿瘤的费用是全身麻醉,要加几千元,术前要做血常规、血生化、血凝时间、头颅CT、磁共振检查,这些都是成本,脑瘤手术会有很多其他成本,有些会使用一些耗材。

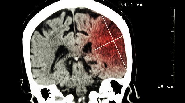
晚期脑癌能活多久?
晚期脑癌患者一般可以存活4年左右,有些症状严重的患者可能只能存活3年。一旦肿瘤增大,压迫脑干,很容易导致死亡。

Ⅲ-Ⅳ对于水平胶质瘤患者,生存周期可能只有1-3年,还有胶质母细胞瘤Ⅳ等级患者生存周期较短,平均约8个月。我很高兴为您服务,看到了您的问题。根据您的描述,如果不治疗,三个月左右可能会出现问题。