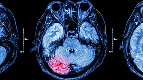
脑外伤因损伤的轻度和损伤部位不同而出现后遗症。常见的后遗症有瘫痪、癫痫、消化道出血等。为了预防脑外伤后遗症的发生,需要做好受伤后的恢复工作,经常锻炼身体,预防下肢僵硬和肌肉萎缩。

脑外伤后遗症
1、出现肢体的瘫痪,严重的可以导致出现昏迷成为植物人,还有一些会引起脑内异常的放电,从而导致出现反复的肢体抽搐形成癫痫。
2、应激性溃疡,导致出现消化道出血,呕吐咖啡样物质,也可以因为长时间的卧床诱发坠积性肺炎,引起肺部的感染,出现发热,以及痰多等表现。
3、因为长时间的肢体不活动,导致出现肢体肌肉的僵硬,以及肌肉萎缩和关节的僵硬等并发症,长时间卧床也可以诱发静脉血栓,出现肺栓塞和下肢静脉血栓等。
如何预防脑外伤后遗症
1、脑外伤发生后,患者病情严重,长时间卧床不起时,要注意翻身拍背,促进排痰,起到预防坠落性肺炎的作用。
2、另外,可以使用抑制胃酸分泌的药物,预防消化道溃疡,平时帮助身体活动伸长弯曲,预防关节僵硬和肌肉萎缩。
3、此外下肢可以用弹力袜,并且进行按摩和热敷,这样能够预防静脉血栓,同时还可以用一些抗凝血的药物。