神经内科
  • 大脑麻木是什么原因
    大脑麻木是什么原因
    大脑麻木可能由睡眠不足、情绪压力、颈椎病、脑供血不足、脑卒中等原因引起。大脑麻木通常表现为头部昏沉、反应迟钝、肢体协调性下降等症状,可通过调整作息、心理疏导、药物治疗等方式改善。1、睡眠不足长期熬夜或 ...
    2026-2-11 16:22
  • 神经炎症怎么办才能好得快
    神经炎症怎么办才能好得快
    神经炎症可通过抗炎药物治疗、神经营养支持、物理治疗、生活方式调整及压力管理等方式缓解。神经炎症通常由感染、自身免疫异常、外伤、代谢紊乱及环境毒素等因素引起。1、抗炎治疗:糖皮质激素如泼尼松可快速抑制过 ...
    2026-2-11 16:22
  • 老人脑梗塞怎么治疗效果好
    老人脑梗塞怎么治疗效果好
    老人脑梗塞可通过溶栓治疗、抗血小板治疗、神经保护治疗、康复训练、控制危险因素等方式治疗。脑梗塞通常由动脉粥样硬化、心源性栓塞、小动脉闭塞、血液高凝状态、血管炎等原因引起。1、溶栓治疗溶栓治疗是脑梗塞急 ...
    2026-2-11 16:22
  • 儿童脑炎是怎么引起的
    儿童脑炎是怎么引起的
    儿童脑炎可能由病毒感染、细菌感染、自身免疫反应、寄生虫感染、疫苗接种反应等原因引起。儿童脑炎通常表现为发热、头痛、呕吐、意识障碍、抽搐等症状,可通过脑脊液检查、影像学检查、病原学检测等方式确诊,并采取 ...
    2026-2-11 16:22
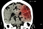
  • 摔倒发生脑出血该怎么办
    摔倒发生脑出血该怎么办
    摔倒发生脑出血需立即就医并采取紧急处理措施,可通过保持呼吸道通畅、避免移动头部、监测生命体征、配合影像学检查、遵医嘱治疗等方式干预。脑出血通常由外伤性血管破裂、高血压血管病变、脑血管畸形、凝血功能障碍 ...
    2026-2-11 16:22
  • 孩子总是出现喉咙疼痛是什么原因
    孩子总是出现喉咙疼痛是什么原因
    孩子总是出现喉咙疼痛可能与上呼吸道感染、扁桃体炎、过敏性鼻炎、胃食管反流、环境干燥等因素有关。喉咙疼痛通常由病毒或细菌感染引起,也可能与过敏反应或物理刺激相关,建议家长及时带孩子就医检查,避免延误病情 ...
    2026-2-11 16:22
  • 两个多月的宝宝流口水是怎么回事
    两个多月的宝宝流口水是怎么回事
    两个多月的宝宝流口水可能由生理性因素、出牙期刺激、口腔感染、神经系统发育异常、胃食管反流等原因引起,可通过日常护理、口腔清洁、药物治疗等方式改善。1、生理性因素唾液腺发育是婴儿期的正常生理过程。两个多 ...
    2026-2-11 16:22
  • 股外侧皮神经炎适合做什么运动
    股外侧皮神经炎适合做什么运动
    股外侧皮神经炎患者适合进行低强度、非压迫性运动,如游泳、瑜伽、骑自行车、散步、水中行走等。运动时应避免过度拉伸或压迫大腿外侧区域,急性期需暂停运动。游泳对股外侧皮神经炎患者较为理想,水的浮力可减轻关节 ...
    2026-2-11 16:22
  • 脑萎缩的常见护理方法
    脑萎缩的常见护理方法
    脑萎缩的常见护理方法主要有调整饮食、适度锻炼、认知训练、心理支持和定期复查。1、调整饮食脑萎缩患者需保证营养均衡,适量增加富含优质蛋白和维生素B族的食物,如鱼类、鸡蛋、全谷物等。避免高盐高脂饮食,减少加 ...
    2026-2-11 16:22
  • 下颌神经损伤会导致患者麻一辈子吗
    下颌神经损伤会导致患者麻一辈子吗
    下颌神经损伤一般不会导致患者麻一辈子,多数情况下经过治疗可以缓解或恢复。少数严重损伤或治疗不及时的情况可能遗留长期麻木感。下颌神经损伤后麻木感持续时间与损伤程度密切相关。轻度挫伤或压迫性损伤通常在3-6 ...
    2026-2-11 16:22
  • 上眼睑疼痛有点肿怎么回事
    上眼睑疼痛有点肿怎么回事
    上眼睑疼痛伴肿胀可能由麦粒肿、结膜炎、过敏性睑皮炎、眼睑蜂窝织炎或外伤等原因引起,可通过热敷、药物或手术等方式治疗。1、麦粒肿麦粒肿是眼睑腺体急性化脓性炎症,多由金黄色葡萄球菌感染引起。早期表现为局部 ...
    2026-2-11 16:22
  • 进行性肌营养不良症怎样治疗
    进行性肌营养不良症怎样治疗
    进行性肌营养不良症可通过药物治疗、康复训练、呼吸支持、营养管理和心理干预等方式治疗。进行性肌营养不良症是一组遗传性肌肉变性疾病,主要表现为进行性肌无力和肌肉萎缩。1、药物治疗糖皮质激素如泼尼松片可延缓 ...
    2026-2-11 16:22
  • 突然中风了怎么办
    突然中风了怎么办
    突然中风可通过保持呼吸道通畅、避免移动患者、立即拨打急救电话、记录发病时间和症状、避免自行用药等方式处理。中风通常由脑动脉阻塞、脑出血、短暂性脑缺血发作、脑血管畸形、高血压等因素引起。1、保持呼吸道通 ...
    2026-2-11 16:22
  • 上眼睑肌无力挂什么科
    上眼睑肌无力挂什么科
    上眼睑肌无力建议挂神经内科或眼科。上眼睑肌无力可能与重症肌无力、动眼神经麻痹、甲状腺相关眼病、眼睑肿瘤、先天性上睑下垂等因素有关。1、神经内科神经内科主要排查重症肌无力等神经系统疾病。重症肌无力属于自 ...
    2026-2-10 16:24
  • 腰大肌疼痛是什么原因引起的
    腰大肌疼痛是什么原因引起的
    腰大肌疼痛可能由肌肉劳损、腰椎间盘突出、腰肌筋膜炎、骨质疏松、强直性脊柱炎等原因引起。腰大肌疼痛通常表现为腰部酸痛、活动受限等症状,可通过休息、药物治疗、物理治疗等方式缓解。1、肌肉劳损腰大肌疼痛可能 ...
    2026-2-10 16:24
  • 全身肌无力症状有哪些
    全身肌无力症状有哪些
    全身肌无力主要表现为肌肉疲劳、活动困难、眼睑下垂、吞咽障碍和呼吸困难。症状按严重程度可分为早期表现、进展期和终末期。1、肌肉疲劳:早期表现为活动后肌肉快速疲劳,休息后缓解。常见于晨轻暮重,如梳头、爬楼 ...
    2026-2-10 16:24
  • 打了麻腮风和乙脑多久会有反应
    打了麻腮风和乙脑多久会有反应
    接种麻腮风疫苗和乙脑疫苗后,不良反应通常出现在接种后1-3天内,少数可能延迟至5-7天出现。麻腮风疫苗可能引起发热、皮疹等反应,乙脑疫苗可能导致注射部位红肿或低热。麻腮风疫苗的不良反应多集中在接种后1-3天。 ...
    2026-2-10 16:24
  • 吃饭时手抖不止是什么原因
    吃饭时手抖不止可能与生理性震颤、甲状腺功能亢进、帕金森病、特发性震颤、低血糖等因素有关。建议及时就医明确病因,避免延误治疗。1.生理性震颤疲劳、紧张或摄入过量咖啡因可能导致短暂手抖。这种震颤通常幅度小且 ...
    2026-2-10 16:24
  • 女人失眠吃什么调理最好
    女人失眠吃什么调理最好
    女性失眠可通过酸枣仁、桂圆、莲子、百合、牛奶等食物调理。失眠可能与激素波动、情绪压力、气血不足、脾胃失调、环境干扰等因素有关。1、酸枣仁:酸枣仁具有养心安神的功效,适用于心肝血虚引起的失眠多梦。可配伍 ...
    2026-2-10 16:24
  • 身上浮肿是什么原因引起的
    身上浮肿是什么原因引起的
    身上浮肿可能由生理性因素、肾脏疾病、心脏疾病、肝脏疾病、内分泌疾病等原因引起。浮肿通常表现为局部或全身性肿胀,可能伴随皮肤紧绷、按压凹陷等症状。1、生理性因素长时间站立或久坐可能导致下肢静脉回流受阻, ...
    2026-2-10 16:24